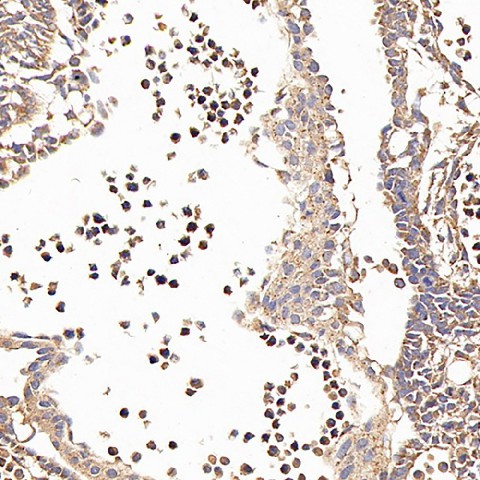
Immunohistochemistry analysis of paraffin-embedded fetal rat using CD133 Monoclonal Antibody at dilution of 1:200.
CD133 Monoclonal Antibody
E-AB-70172
Product group Antibodies
Overview
- SupplierElabscience
- Product NameCD133 Monoclonal Antibody
- Delivery Days Customer12
- CertificationResearch Use Only
- Scientific DescriptionThis gene encodes a pentaspan transmembrane glycoprotein. The protein localizes to membrane protrusions and is often expressed on adult stem cells, where it is thought to function in maintaining stem cell properties by suppressing differentiation. Mutations in this gene have been shown to result in retinitis pigmentosa and Stargardt disease. Expression of this gene is also associated with several types of cancer. This gene is expressed from at least five alternative promoters that are expressed in a tissue-dependent manner. Multiple transcript variants encoding different isoforms have been found for this gene.
- UNSPSC12352203
