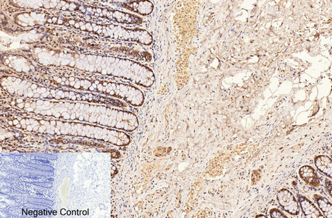
Immunohistochemistry of paraffin-embedded Human colon tissue using CD2 Monoclonal Antibody at dilution of 1:200.
CD2 Monoclonal Antibody
E-AB-22097
Product group Antibodies
Overview
- SupplierElabscience
- Product NameCD2 Monoclonal Antibody
- Delivery Days Customer12
- CertificationResearch Use Only
- Scientific DescriptionThe protein encoded by this gene is a surface antigen found on all peripheral blood T-cells. The encoded protein interacts with LFA3 (CD58) on antigen presenting cells to optimize immune recognition. A locus control region (LCR) has been found in the 3 flanking sequence of this gene.CD2 (CD2 Molecule) is a Protein Coding gene. Diseases associated with CD2 include Penis Squamous Cell Carcinoma and Immune Defect Due To Absence Of Thymus. Among its related pathways are PEDF Induced Signaling and TGF-Beta Pathway. GO annotations related to this gene include protein homodimerization activity and receptor activity.
- UNSPSC12352203






