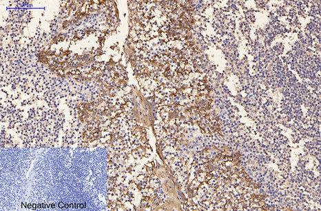
Immunohistochemistry of paraffin-embedded Human tonsil tissue using CK-16 Monoclonal Antibody at dilution of 1:200.
CK16 Monoclonal Antibody
E-AB-22019
Product group Antibodies
Overview
- SupplierElabscience
- Product NameCK16 Monoclonal Antibody
- Delivery Days Customer12
- CertificationResearch Use Only
- Scientific DescriptionExpressed in the hair follicle, nail bed and in mucosal stratified squamous epithelia and, suprabasally, in oral epithelium and palmoplantar epidermis. Also found in luminal cells of sweat and mammary gland ducts.
- UNSPSC12352203





