
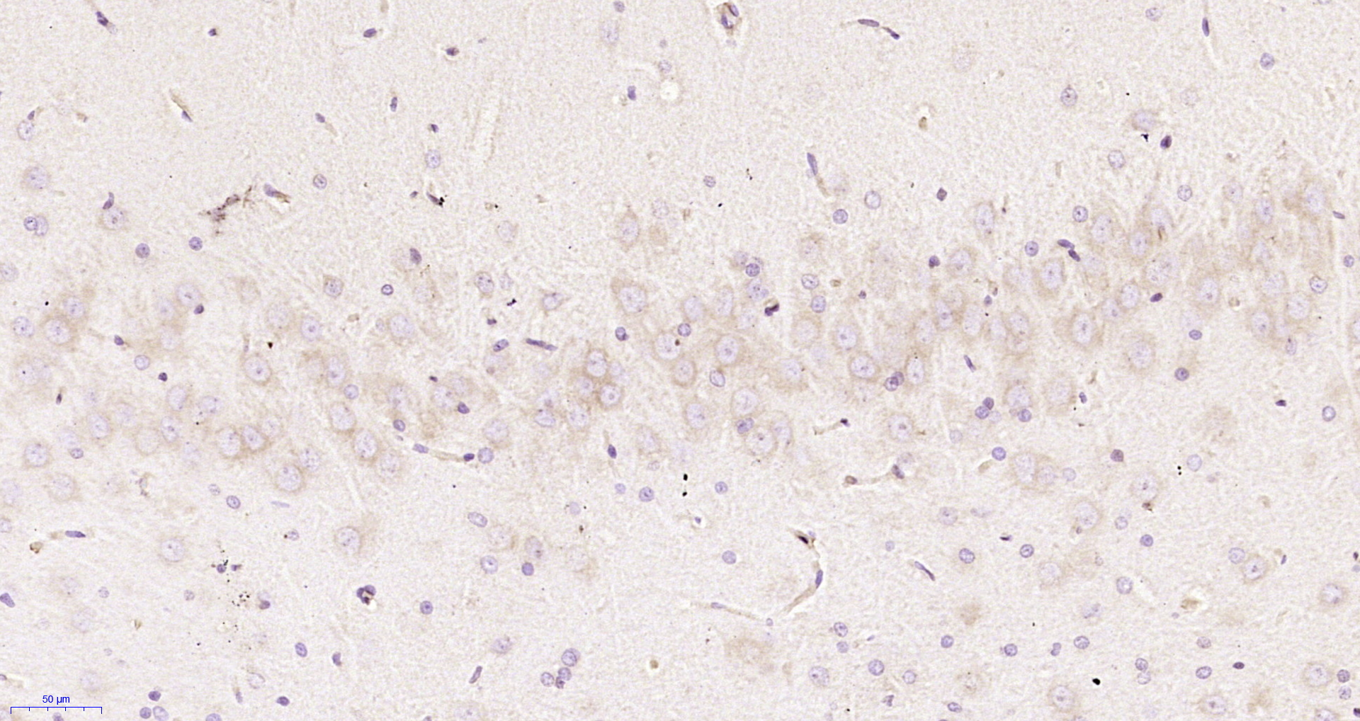
Formalin-fixed and paraffin embedded rat brain tissue labeled with Anti CKAP4 Polyclonal Antibody,Unconjugated (bs-6520R) at 1:200 followed by conjugation to the secondary antibody and DAB staining.
CKAP4 Polyclonal Antibody
BS-6520R
ApplicationsFlow Cytometry, ImmunoFluorescence, Western Blot, ELISA, ImmunoCytoChemistry, ImmunoHistoChemistry, ImmunoHistoChemistry Frozen, ImmunoHistoChemistry Paraffin
Product group Antibodies
ReactivityBovine, Chicken, Human, Mouse, Porcine, Rat
TargetCKAP4
Overview
- SupplierBioss
- Product NameCKAP4 Polyclonal Antibody
- Delivery Days Customer16
- ApplicationsFlow Cytometry, ImmunoFluorescence, Western Blot, ELISA, ImmunoCytoChemistry, ImmunoHistoChemistry, ImmunoHistoChemistry Frozen, ImmunoHistoChemistry Paraffin
- Applications SupplierWB(1:300-5000), ELISA(1:500-1000), FCM(1:20-100), IHC-P(1:200-400), IHC-F(1:100-500), IF(IHC-P)(1:50-200), IF(IHC-F)(1:50-200), IF(ICC)(1:50-200)
- CertificationResearch Use Only
- ClonalityPolyclonal
- Concentration1 ug/ul
- ConjugateUnconjugated
- Gene ID10970
- Target nameCKAP4
- Target descriptioncytoskeleton associated protein 4
- Target synonymsCLIMP-63, CLIMP63, ERGIC-63, p63, cytoskeleton-associated protein 4, 63 kDa membrane protein, 63-kDa cytoskeleton-linking membrane protein, transmembrane protein (63kD), endoplasmic reticulum/Golgi intermediate compartment, type-II transmembrane protein p63
- HostRabbit
- IsotypeIgG
- Protein IDQ07065
- Protein NameCytoskeleton-associated protein 4
- ReactivityBovine, Chicken, Human, Mouse, Porcine, Rat
- Storage Instruction-20°C
- UNSPSC41116161





![Various whole cell extracts (30 μg) were separated by 7.5% SDS-PAGE, and the membrane was blotted with CKAP4 antibody [N3C3] (GTX120087) diluted at 1:10000. The HRP-conjugated anti-rabbit IgG antibody (GTX213110-01) was used to detect the primary antibody.](https://www.genetex.com/upload/website/prouct_img/normal/GTX120087/GTX120087_44482_20211029_WB_w_23060519_492.webp)