
Immunofluorescence analysis of paraformaldehyde-fixed HeLa, using CoA synthase(GTX107934) antibody at 1:200 dilution.
COASY antibody [N3C3-3]
GTX107934
ApplicationsImmunoFluorescence, Western Blot, ImmunoCytoChemistry, ImmunoHistoChemistry, ImmunoHistoChemistry Paraffin
Product group Antibodies
ReactivityHuman, Mouse
TargetCOASY
Overview
- SupplierGeneTex
- Product NameCOASY antibody [N3C3-3]
- Delivery Days Customer9
- Application Supplier NoteWB: 1:500-1:3000. ICC/IF: 1:100-1:1000. IHC-P: 1:100-1:1000. *Optimal dilutions/concentrations should be determined by the researcher.Not tested in other applications.
- ApplicationsImmunoFluorescence, Western Blot, ImmunoCytoChemistry, ImmunoHistoChemistry, ImmunoHistoChemistry Paraffin
- CertificationResearch Use Only
- ClonalityPolyclonal
- Concentration1 mg/ml
- ConjugateUnconjugated
- Gene ID80347
- Target nameCOASY
- Target descriptionCoenzyme A synthase
- Target synonymsDPCK, NBIA6, NBP, PCH12, PPAT, UKR1, pOV-2, bifunctional coenzyme A synthase, CoA synthase, bifunctional phosphopantetheine adenylyl transferase/dephospho CoA kinase, nucleotide binding protein, phosphopantetheine adenylyltransferase / dephosphocoenzyme A kinase
- HostRabbit
- IsotypeIgG
- Protein IDQ13057
- Protein NameBifunctional coenzyme A synthase
- Scientific DescriptionBiosynthesis of coenzyme A (CoA) from pantothenic acid (vitamin B5) is an essential universal pathway in prokaryotes and eukaryotes. COASY is a bifunctional enzyme that catalyzes the 2 last steps in CoA synthesis. These activities are performed by 2 separate enzymes, phosphopantetheine adenylyltransferase (PPAT; EC 2.7.7.3) and dephospho-CoA kinase (DPCK; EC 2.7.1.24), in prokaryotes (Daugherty et al., 2002 [PubMed 11923312]).[supplied by OMIM]
- ReactivityHuman, Mouse
- Storage Instruction-20°C or -80°C,2°C to 8°C
- UNSPSC41116161
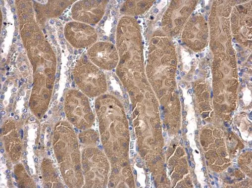
![CoA synthase antibody [N3C3-3] detects CoA synthase protein at cytoplasm in mouse kidney by immunohistochemical analysis. Sample: Paraffin-embedded mouse kidney. CoA synthase antibody [N3C3-3] (GTX107934) diluted at 1:500.
Antigen Retrieval: Citrate buffer, pH 6.0, 15 min CoA synthase antibody [N3C3-3] detects CoA synthase protein at cytoplasm in mouse kidney by immunohistochemical analysis. Sample: Paraffin-embedded mouse kidney. CoA synthase antibody [N3C3-3] (GTX107934) diluted at 1:500.
Antigen Retrieval: Citrate buffer, pH 6.0, 15 min](https://www.genetex.com/upload/website/prouct_img/normal/GTX107934/GTX107934_40009_20150417_IHC_M_w_23060120_639.webp)
![CoA synthase antibody [N3C3-3] detects CoA synthase protein at cytoplasm in mouse prostate by immunohistochemical analysis. Sample: Paraffin-embedded mouse prostate. CoA synthase antibody [N3C3-3] (GTX107934) diluted at 1:500.
Antigen Retrieval: Citrate buffer, pH 6.0, 15 min CoA synthase antibody [N3C3-3] detects CoA synthase protein at cytoplasm in mouse prostate by immunohistochemical analysis. Sample: Paraffin-embedded mouse prostate. CoA synthase antibody [N3C3-3] (GTX107934) diluted at 1:500.
Antigen Retrieval: Citrate buffer, pH 6.0, 15 min](https://www.genetex.com/upload/website/prouct_img/normal/GTX107934/GTX107934_40009_20150417_IHC_M_2_w_23060120_747.webp)










