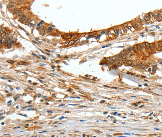
Immunohistochemistry of paraffin-embedded Human colon cancer tissue using COL1A2 Polyclonal Antibody at dilution 1:70
COL1A2 Polyclonal Antibody
E-AB-10155
ApplicationsImmunoHistoChemistry
Product group Antibodies
TargetCOL1A2
Overview
- SupplierElabscience
- Product NameCOL1A2 Polyclonal Antibody
- Delivery Days Customer12
- ApplicationsImmunoHistoChemistry
- Applications SupplierELISA IHC
- CertificationResearch Use Only
- ClonalityPolyclonal
- Concentration0.1 mg/ml
- ConjugateUnconjugated
- Gene ID1278
- Target nameCOL1A2
- Target descriptioncollagen type I alpha 2 chain
- Target synonymsEDSARTH2, EDSCV, OI4, collagen alpha-2(I) chain, alpha 2 type I procollagen, alpha 2(I) procollagen, alpha 2(I)-collagen, alpha-2 type I collagen, collagen I, alpha-2 polypeptide, collagen of skin, tendon and bone, alpha-2 chain, collagen, type I, alpha 2, epididymis secretory sperm binding protein, type I procollagen
- HostRabbit
- IsotypeIgG
- Protein IDP08123
- Protein NameCollagen alpha-2(I) chain
- Scientific DescriptionThis gene encodes the pro-alpha2 chain of type I collagen whose triple helix comprises two alpha1 chains and one alpha2 chain. Type I is a fibril-forming collagen found in most connective tissues and is abundant in bone, cornea, dermis and tendon. Mutations in this gene are associated with osteogenesis imperfecta types I-IV, Ehlers-Danlos syndrome type VIIB, recessive Ehlers-Danlos syndrome Classical type, idiopathic osteoporosis, and atypical Marfan syndrome. Symptoms associated with mutations in this gene, however, tend to be less severe than mutations in the gene for the alpha1 chain of type I collagen (COL1A1) reflecting the different role of alpha2 chains in matrix integrity. Three transcripts, resulting from the use of alternate polyadenylation signals, have been identified for this gene.
- Storage Instruction-20°C
- UNSPSC41116161





![COL1A2 antibody [C2C3], C-term detects COL1A2 protein at cytoplasm by immunofluorescent analysis. Sample: NIH-3T3 cells were fixed in ice-cold MeOH for 5 min. Green: COL1A2 protein stained by COL1A2 antibody [C2C3], C-term (GTX102996) diluted at 1:500. Blue: Hoechst 33342 staining.](https://www.genetex.com/upload/website/prouct_img/normal/GTX102996/GTX102996_40086_IFA_M_w_23060119_175.webp)