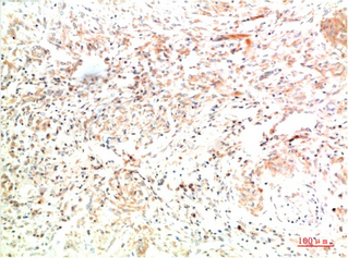
Immunohistochemistry of paraffin-embedded Human lung carcinoma tissue using COL2A1 Monoclonal Antibody at dilution of 1:200.
COL2A1 Monoclonal Antibody
E-AB-22275
Product group Antibodies
Overview
- SupplierElabscience
- Product NameCOL2A1 Monoclonal Antibody
- Delivery Days Customer12
- CertificationResearch Use Only
- Scientific DescriptionThis gene encodes the alpha-1 chain of type II collagen, a fibrillar collagen found in cartilage and the vitreous humor of the eye. Mutations in this gene are associated with achondrogenesis, chondrodysplasia, early onset familial osteoarthritis, SED congenita, Langer-Saldino achondrogenesis, Kniest dysplasia, Stickler syndrome type I, and spondyloepimetaphyseal dysplasia Strudwick type. In addition, defects in processing chondrocalcin, a calcium binding protein that is the C-propeptide of this collagen molecule, are also associated with chondrodysplasia. There are two transcripts identified for this gene.
- UNSPSC12352203

