
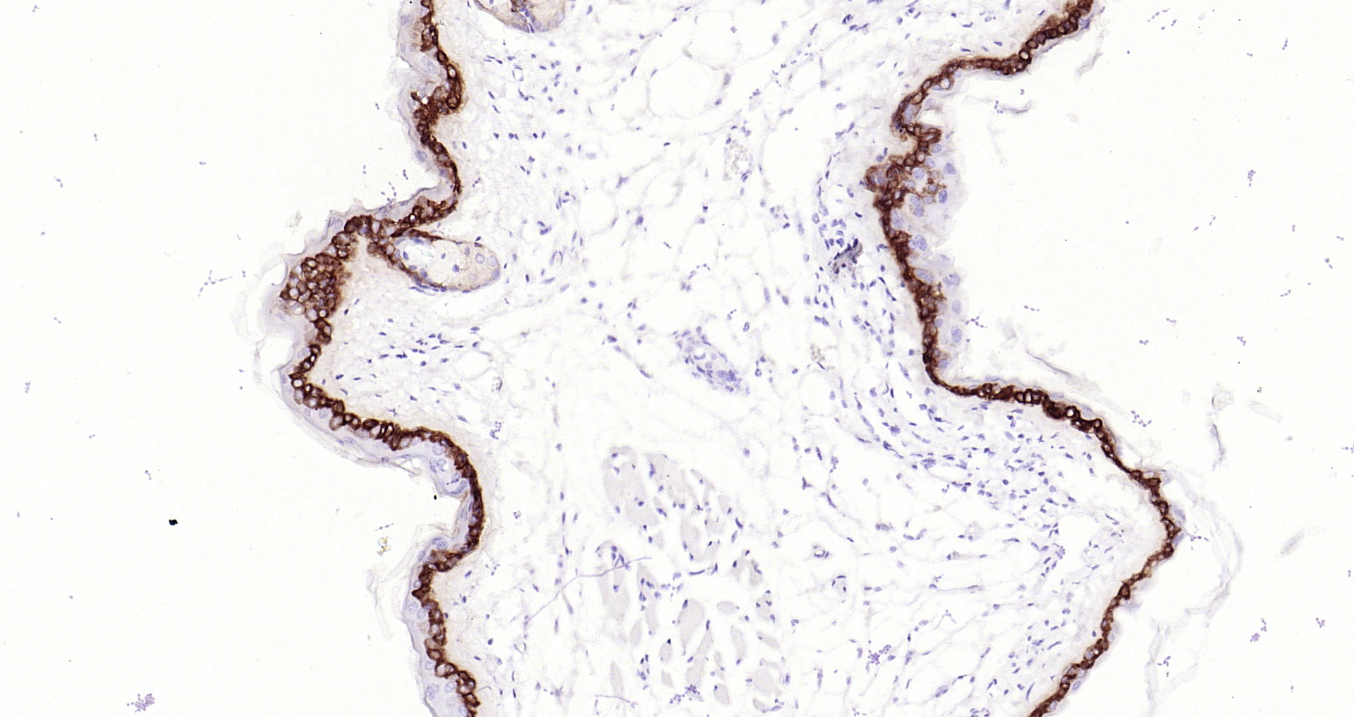
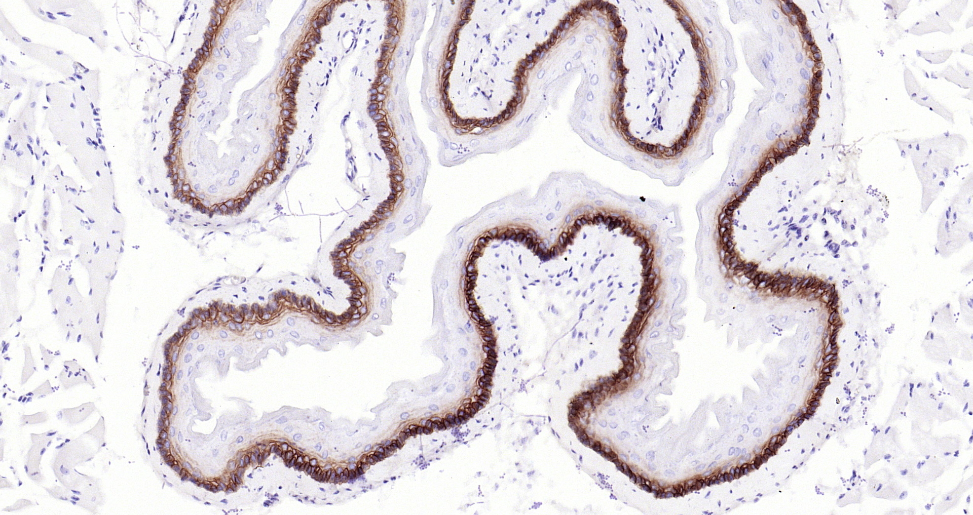
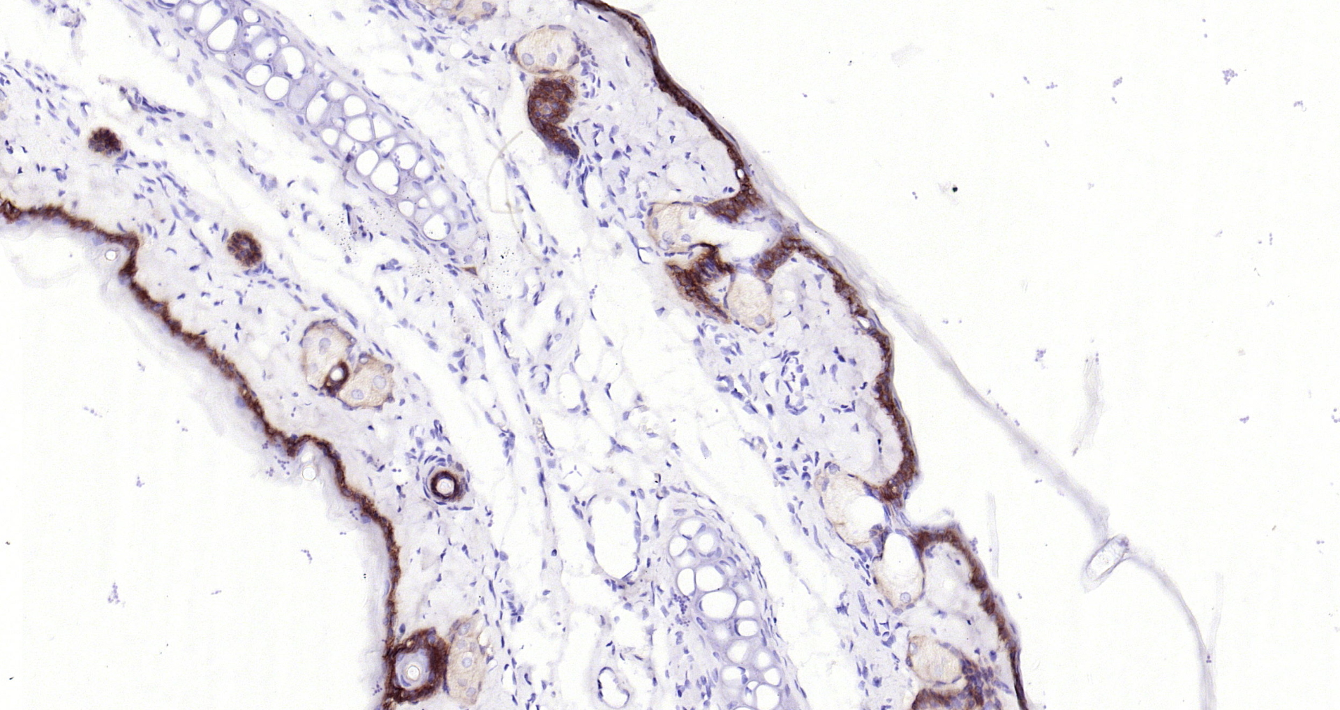
Paraformaldehyde-fixed, paraffin embedded mouse skin; Antigen retrieval by boiling in sodium citrate buffer (pH6) for 15min; Block endogenous peroxidase by 3% hydrogen peroxide for 30 minutes; Blocking buffer at 37°C for 20min; Antibody incubation with Collagen XVII (1C11) Monoclonal Antibody (bsm-52041R) at 1:50 overnight at 4°C, followed by a conjugated secondary and DAB staining.
Collagen XVII Recombinant Antibody
BSM-52041R
ApplicationsImmunoFluorescence, Western Blot, ImmunoHistoChemistry, ImmunoHistoChemistry Frozen, ImmunoHistoChemistry Paraffin
Product group Antibodies
ReactivityHuman, Mouse, Rat
TargetCOL17A1
Overview
- SupplierBioss
- Product NameCollagen XVII Recombinant Antibody
- Delivery Days Customer16
- ApplicationsImmunoFluorescence, Western Blot, ImmunoHistoChemistry, ImmunoHistoChemistry Frozen, ImmunoHistoChemistry Paraffin
- Applications SupplierWB(1:300-5000), IHC-P(1:200-400), IHC-F(1:100-500), IF()
- CertificationResearch Use Only
- ClonalityMonoclonal
- ConjugateUnconjugated
- Gene ID1308
- Target nameCOL17A1
- Target descriptioncollagen type XVII alpha 1 chain
- Target synonymsBA16H23.2, BP180, BPA-2, BPAG2, ERED, JEB4, LAD-1, collagen alpha-1(XVII) chain, 180 kDa bullous pemphigoid antigen 2, alpha 1 type XVII collagen, bA16H23.2 (collagen, type XVII, alpha 1 (BP180)), bullous pemphigoid antigen 2 (180kD), collagen XVII, alpha-1 polypeptide, collagen, type XVII, alpha 1, type XVII collagen alpha-1
- HostRabbit
- IsotypeIgG
- Protein IDQ9UMD9
- Protein NameCollagen alpha-1(XVII) chain
- ReactivityHuman, Mouse, Rat
- Storage Instruction-20°C
- UNSPSC41116161








