
Immunohistochemical analysis of paraffin-embedded MDA-MB157 xenograft, using CPT1A(GTX114337) antibody at 1:250 dilution.
Antigen Retrieval: Trilogy? (EDTA based, pH 8.0) buffer, 15min
CPT1A antibody [C1C2], Internal
GTX114337
ApplicationsWestern Blot, ImmunoHistoChemistry, ImmunoHistoChemistry Paraffin
Product group Antibodies
ReactivityHuman, Mouse
TargetCPT1A
Overview
- SupplierGeneTex
- Product NameCPT1A antibody [C1C2], Internal
- Delivery Days Customer9
- Application Supplier NoteWB: 1:500-1:3000. IHC-P: 1:100-1:1000. *Optimal dilutions/concentrations should be determined by the researcher.Not tested in other applications.
- ApplicationsWestern Blot, ImmunoHistoChemistry, ImmunoHistoChemistry Paraffin
- CertificationResearch Use Only
- ClonalityPolyclonal
- Concentration1 mg/ml
- ConjugateUnconjugated
- Gene ID1374
- Target nameCPT1A
- Target descriptioncarnitine palmitoyltransferase 1A
- Target synonymsCPT I, CPT1, CPT1-L, CPTI-L, L-CPT1, carnitine O-palmitoyltransferase 1, liver isoform, carnitine palmitoyltransferase 1A (liver), carnitine palmitoyltransferase I, liver, succinyltransferase CPT1A
- HostRabbit
- IsotypeIgG
- Protein IDP50416
- Protein NameCarnitine O-palmitoyltransferase 1, liver isoform
- Scientific DescriptionThe mitochondrial oxidation of long-chain fatty acids is initiated by the sequential action of carnitine palmitoyltransferase I (which is located in the outer membrane and is detergent-labile) and carnitine palmitoyltransferase II (which is located in the inner membrane and is detergent-stable), together with a carnitine-acylcarnitine translocase. CPT I is the key enzyme in the carnitine-dependent transport across the mitochondrial inner membrane and its deficiency results in a decreased rate of fatty acid beta-oxidation. Alternatively spliced transcript variants encoding different isoforms have been found for this gene. [provided by RefSeq]
- ReactivityHuman, Mouse
- Storage Instruction-20°C or -80°C,2°C to 8°C
- UNSPSC41116161
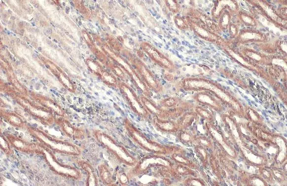
![CPT1A antibody [C1C2], Internal detects CPT1A protein at mitochondria by immunohistochemical analysis. Sample: Paraffin-embedded mouse kidney. CPT1A stained by CPT1A antibody [C1C2], Internal (GTX114337) diluted at 1:500. Antigen Retrieval: Citrate buffer, pH 6.0, 15 min CPT1A antibody [C1C2], Internal detects CPT1A protein at mitochondria by immunohistochemical analysis. Sample: Paraffin-embedded mouse kidney. CPT1A stained by CPT1A antibody [C1C2], Internal (GTX114337) diluted at 1:500. Antigen Retrieval: Citrate buffer, pH 6.0, 15 min](https://www.genetex.com/upload/website/prouct_img/normal/GTX114337/GTX114337_44230_20220211_IHC-P_M_w_23060501_851.webp)
![Whole cell extract (30 μg) was separated by 7.5% SDS-PAGE, and the membrane was blotted with CPT1A antibody [C1C2], Internal (GTX114337) diluted at 1:1000. The HRP-conjugated anti-rabbit IgG antibody (GTX213110-01) was used to detect the primary antibody. Whole cell extract (30 μg) was separated by 7.5% SDS-PAGE, and the membrane was blotted with CPT1A antibody [C1C2], Internal (GTX114337) diluted at 1:1000. The HRP-conjugated anti-rabbit IgG antibody (GTX213110-01) was used to detect the primary antibody.](https://www.genetex.com/upload/website/prouct_img/normal/GTX114337/GTX114337_40177_20200710_WB_w_23060501_922.webp)








