
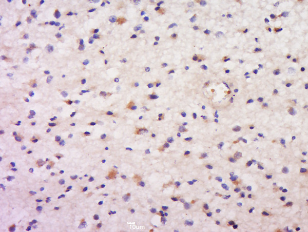
Formalin-fixed and paraffin embedded human colon carcinoma labeled with Anti-DAND5 Polyclonal Antibody, Unconjugated (bs-14193R) at 1:500 followed by conjugation to the secondary antibody and DAB staining.
DAND5/GREM3 Polyclonal Antibody
BS-14193R
ApplicationsImmunoFluorescence, ELISA, ImmunoCytoChemistry, ImmunoHistoChemistry, ImmunoHistoChemistry Frozen, ImmunoHistoChemistry Paraffin
Product group Antibodies
ReactivityHuman
TargetDAND5
Overview
- SupplierBioss
- Product NameDAND5/GREM3 Polyclonal Antibody
- Delivery Days Customer16
- ApplicationsImmunoFluorescence, ELISA, ImmunoCytoChemistry, ImmunoHistoChemistry, ImmunoHistoChemistry Frozen, ImmunoHistoChemistry Paraffin
- Applications SupplierELISA(1:500-1000), IHC-P(1:200-400), IHC-F(1:100-500), IF(IHC-P)(1:50-200), IF(IHC-F)(1:50-200), IF(ICC)(1:50-200)
- CertificationResearch Use Only
- ClonalityPolyclonal
- Concentration1 ug/ul
- ConjugateUnconjugated
- Gene ID199699
- Target nameDAND5
- Target descriptionDAN domain BMP antagonist family member 5
- Target synonymsCER2, CERL2, CKTSF1B3, COCO, CRL2, DANTE, GREM3, HTX13, SP1, DAN domain family member 5, DAN domain family member 5, BMP antagonist, DAN domain family, member 5, cerberus 2, cerberus-like 2, cerberus-like protein 2, cerl-2, cysteine knot superfamily 1, BMP antagonist 3, gremlin-3
- HostRabbit
- IsotypeIgG
- Protein IDQ8N907
- Protein NameDAN domain family member 5
- ReactivityHuman
- Storage Instruction-20°C
- UNSPSC41116161





