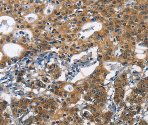
Immunohistochemistry of paraffin-embedded Human gasrtic cancer tissue using DCC Polyclonal Antibody at dilution 1:70
DCC Polyclonal Antibody
E-AB-15932
Product group Antibodies
Overview
- SupplierElabscience
- Product NameDCC Polyclonal Antibody
- Delivery Days Customer12
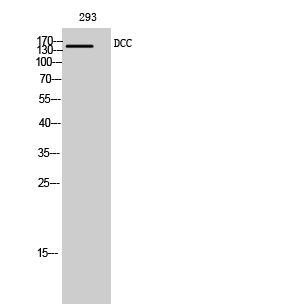
- Applications SupplierELISA IHC
- CertificationResearch Use Only
- Concentration0.7mg/ml
- Scientific DescriptionThis gene encodes a netrin 1 receptor. The transmembrane protein is a member of the immunoglobulin superfamily of cell adhesion molecules, and mediates axon guidance of neuronal growth cones towards sources of netrin 1 ligand. The cytoplasmic tail interacts with the tyrosine kinases Src and focal adhesion kinase (FAK, also known as PTK2) to mediate axon attraction. The protein partially localizes to lipid rafts, and induces apoptosis in the absence of ligand. The protein functions as a tumor suppressor, and is frequently mutated or downregulated in colorectal cancer and esophageal carcinoma.
- UNSPSC12352203





