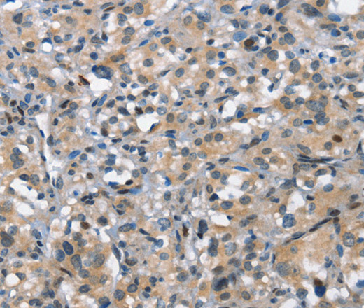
Immunohistochemistry of paraffin-embedded Human thyroid cancer tissue using DDR2 Polyclonal Antibody at dilution 1:40
DDR2 Polyclonal Antibody
E-AB-15973
Product group Antibodies
Overview
- SupplierElabscience
- Product NameDDR2 Polyclonal Antibody
- Delivery Days Customer12
- Applications SupplierELISA IHC
- CertificationResearch Use Only
- Concentration0.4mg/ml
- Scientific DescriptionReceptor tyrosine kinases (RTKs) play a key role in the communication of cells with their microenvironment. These molecules are involved in the regulation of cell growth, differentiation, and metabolism. In several cases the biochemical mechanism by which RTKs transduce signals across the membrane has been shown to be ligand induced receptor oligomerization and subsequent intracellular phosphorylation. This autophosphorylation leads to phosphorylation of cytosolic targets as well as association with other molecules, which are involved in pleiotropic effects of signal transduction. RTKs have a tripartite structure with extracellular, transmembrane, and cytoplasmic regions. This gene encodes a member of a novel subclass of RTKs and contains a distinct extracellular region encompassing a factor VIII-like domain.
- UNSPSC12352203




