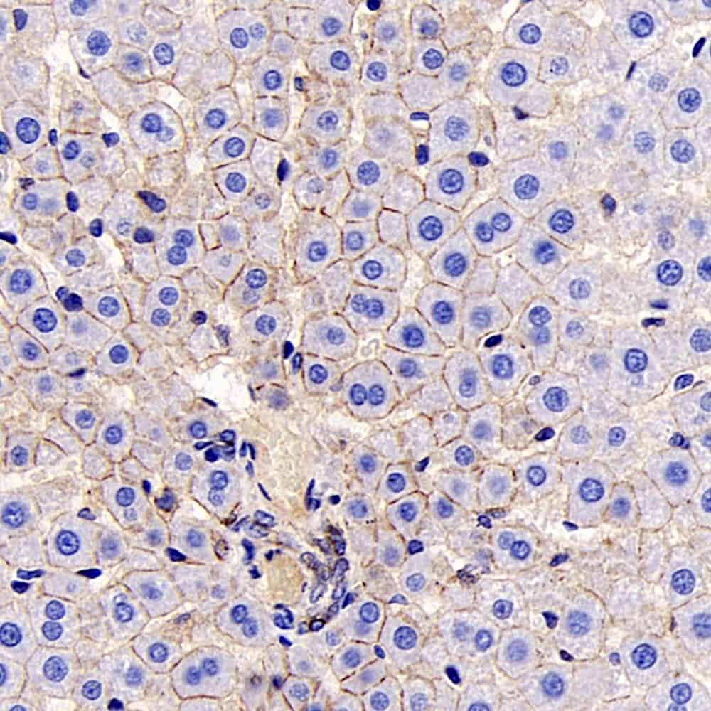
Immunohistochemistry analysis of paraffin-embedded mouse liver using E-Cadherin Monoclonal Antibody at dilution of 1:300.
E-Cadherin Monoclonal Antibody
E-AB-70249
Product group Antibodies
Overview
- SupplierElabscience
- Product NameE-Cadherin Monoclonal Antibody
- Delivery Days Customer12
- CertificationResearch Use Only
- Scientific DescriptionThis gene is a classical cadherin from the cadherin superfamily. The encoded protein is a calcium dependent cell-cell adhesion glycoprotein comprised of five extracellular cadherin repeats, a transmembrane region and a highly conserved cytoplasmic tail. Mutations in this gene are correlated with gastric, breast, colorectal, thyroid and ovarian cancer. Loss of function is thought to contribute to progression in cancer by increasing proliferation, invasion, and/or metastasis. The ectodomain of this protein mediates bacterial adhesion to mammalian cells and the cytoplasmic domain is required for internalization. Identified transcript variants arise from mutation at consensus splice sites.
- UNSPSC12352203




