
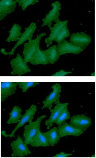
ICC/IF analysis of A549 cells using GTX57679 EBP1 antibody. Blue: DAPI Green: Primary antibody Dilution: 1:100
EBP1 antibody [AT5E7]
GTX57679
ApplicationsFlow Cytometry, ImmunoFluorescence, Western Blot, ImmunoCytoChemistry
Product group Antibodies
ReactivityHuman
TargetPA2G4
Overview
- SupplierGeneTex
- Product NameEBP1 antibody [AT5E7]
- Delivery Days Customer9
- ApplicationsFlow Cytometry, ImmunoFluorescence, Western Blot, ImmunoCytoChemistry
- CertificationResearch Use Only
- ClonalityMonoclonal
- Clone IDAT5E7
- Concentration1 mg/ml
- ConjugateUnconjugated
- Gene ID5036
- Target namePA2G4
- Target descriptionproliferation-associated 2G4
- Target synonymsEBP1, HG4-1, ITAF45, p38-2G4, proliferation-associated protein 2G4, ErbB-3 binding protein 1, ErbB-3 receptor binding protein, ErbB3-binding protein Ebp1, IRES-specific cellular transacting factor 45, cell cycle protein p38-2G4 homolog, erbB3-binding protein 1, proliferation-associated 2G4, 38kD, proliferation-associated 2G4, 38kDa
- HostMouse
- IsotypeIgG1
- Protein IDQ9UQ80
- Protein NameProliferation-associated protein 2G4
- Scientific DescriptionThis gene encodes an RNA-binding protein that is involved in growth regulation. This protein is present in pre-ribosomal ribonucleoprotein complexes and may be involved in ribosome assembly and the regulation of intermediate and late steps of rRNA processing. This protein can interact with the cytoplasmic domain of the ErbB3 receptor and may contribute to transducing growth regulatory signals. This protein is also a transcriptional co-repressor of androgen receptor-regulated genes and other cell cycle regulatory genes through its interactions with histone deacetylases. This protein has been implicated in growth inhibition and the induction of differentiation of human cancer cells. Six pseudogenes, located on chromosomes 3, 6, 9, 18, 20 and X, have been identified. [provided by RefSeq, Jul 2008]
- ReactivityHuman
- Storage Instruction-20°C or -80°C,2°C to 8°C
- UNSPSC41116161








