![WB analysis of various cell lines using GTX84195 Endothelial Lipase / LIPG antibody [2A5]. Loading : 35 ug per lane Dilution : 1:200 WB analysis of various cell lines using GTX84195 Endothelial Lipase / LIPG antibody [2A5]. Loading : 35 ug per lane Dilution : 1:200](https://www.genetex.com/upload/website/prouct_img/normal/GTX84195/GTX84195_3506_WB_w_23061420_269.webp)
WB analysis of various cell lines using GTX84195 Endothelial Lipase / LIPG antibody [2A5]. Loading : 35 ug per lane Dilution : 1:200
Endothelial Lipase / LIPG antibody [2A5]
GTX84195
ApplicationsFlow Cytometry, ImmunoFluorescence, Western Blot, ImmunoCytoChemistry, ImmunoHistoChemistry, ImmunoHistoChemistry Paraffin
Product group Antibodies
ReactivityCanine, Human, Monkey, Mouse
TargetLIPG
Overview
- SupplierGeneTex
- Product NameEndothelial Lipase / LIPG antibody [2A5]
- Delivery Days Customer9
- Application Supplier NoteWB: 1:1000. ICC/IF: 1:100. IHC-P: 1:50. FCM: 1:100. *Optimal dilutions/concentrations should be determined by the researcher.Not tested in other applications.
- ApplicationsFlow Cytometry, ImmunoFluorescence, Western Blot, ImmunoCytoChemistry, ImmunoHistoChemistry, ImmunoHistoChemistry Paraffin
- CertificationResearch Use Only
- ClonalityMonoclonal
- Clone ID2A5
- Concentration1 mg/ml
- ConjugateUnconjugated
- Gene ID9388
- Target nameLIPG
- Target descriptionlipase G, endothelial type
- Target synonymsEDL, EL, PRO719, endothelial lipase, endothelial cell-derived lipase, lipase, endothelial, lipoprotein lipase H, phospholipase A1
- HostMouse
- IsotypeIgG1
- Protein IDQ9Y5X9
- Protein NameEndothelial lipase
- Scientific DescriptionHas phospholipase and triglyceride lipase activities. Hydrolyzes high density lipoproteins (HDL) more efficiently than other lipoproteins. Binds heparin.
- ReactivityCanine, Human, Monkey, Mouse
- Storage Instruction-20°C or -80°C,2°C to 8°C
- UNSPSC41116161
![IHC-P analysis of human prostate carcinoma tissue using GTX84195 Endothelial Lipase / LIPG antibody [2A5]. Antigen retrieval : Heat-induced epitope retrieval by 10mM citrate buffer, pH6.0, 100oC for 10min. IHC-P analysis of human prostate carcinoma tissue using GTX84195 Endothelial Lipase / LIPG antibody [2A5]. Antigen retrieval : Heat-induced epitope retrieval by 10mM citrate buffer, pH6.0, 100oC for 10min.](https://www.genetex.com/upload/website/prouct_img/normal/GTX84195/GTX84195_2459_IHC-P_w_23061420_727.webp)
![IHC-P analysis of human kidney tissue using GTX84195 Endothelial Lipase / LIPG antibody [2A5]. Antigen retrieval : Heat-induced epitope retrieval by 10mM citrate buffer, pH6.0, 100oC for 10min. IHC-P analysis of human kidney tissue using GTX84195 Endothelial Lipase / LIPG antibody [2A5]. Antigen retrieval : Heat-induced epitope retrieval by 10mM citrate buffer, pH6.0, 100oC for 10min.](https://www.genetex.com/upload/website/prouct_img/normal/GTX84195/GTX84195_2461_IHC-P_w_23061420_600.webp)
![WB analysis of HEK293T cells transfected with Endothelial Lipase / LIPG plasmid (Right) or empty vector (Left) for 48 hrs using GTX84195 Endothelial Lipase / LIPG antibody [2A5]. Loading : 5 ug per lane WB analysis of HEK293T cells transfected with Endothelial Lipase / LIPG plasmid (Right) or empty vector (Left) for 48 hrs using GTX84195 Endothelial Lipase / LIPG antibody [2A5]. Loading : 5 ug per lane](https://www.genetex.com/upload/website/prouct_img/normal/GTX84195/GTX84195_4190_WB_w_23061420_786.webp)
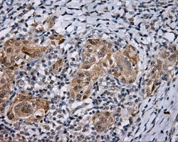
![IHC-P analysis of human thyroid carcinoma tissue using GTX84195 Endothelial Lipase / LIPG antibody [2A5]. Antigen retrieval : Heat-induced epitope retrieval by 10mM citrate buffer, pH6.0, 100oC for 10min. IHC-P analysis of human thyroid carcinoma tissue using GTX84195 Endothelial Lipase / LIPG antibody [2A5]. Antigen retrieval : Heat-induced epitope retrieval by 10mM citrate buffer, pH6.0, 100oC for 10min.](https://www.genetex.com/upload/website/prouct_img/normal/GTX84195/GTX84195_2460_IHC-P_w_23061420_884.webp)
![ICC/IF analysis of COS7 cells transiently transfected with Endothelial Lipase / LIPG plasmid using GTX84195 Endothelial Lipase / LIPG antibody [2A5]. ICC/IF analysis of COS7 cells transiently transfected with Endothelial Lipase / LIPG plasmid using GTX84195 Endothelial Lipase / LIPG antibody [2A5].](https://www.genetex.com/upload/website/prouct_img/normal/GTX84195/GTX84195_983_ICCIF_w_23061420_718.webp)
![FACS analysis of HEK293T cells transfected with either Endothelial Lipase / LIPG plasmid(Red) or empty vector control plasmid(Blue) using GTX84195 Endothelial Lipase / LIPG antibody [2A5]. FACS analysis of HEK293T cells transfected with either Endothelial Lipase / LIPG plasmid(Red) or empty vector control plasmid(Blue) using GTX84195 Endothelial Lipase / LIPG antibody [2A5].](https://www.genetex.com/upload/website/prouct_img/normal/GTX84195/GTX84195_323_FACS_w_23061420_350.webp)






![FACS analysis of Jurkat cells using GTX84191 Endothelial Lipase / LIPG antibody [4A8]. Red : Primary antibody Blue : Negative control antibody](https://www.genetex.com/upload/website/prouct_img/normal/GTX84191/GTX84191_320_FACS_w_23061420_337.webp)
![IHC-P analysis of human kidney tissue using GTX84193 Endothelial Lipase / LIPG antibody [7C2]. Antigen retrieval : Heat-induced epitope retrieval by 10mM citrate buffer, pH6.0, 100oC for 10min.](https://www.genetex.com/upload/website/prouct_img/normal/GTX84193/GTX84193_2457_IHC-P_w_23061420_558.webp)