![FACS analysis of Jurkat cells using GTX84191 Endothelial Lipase / LIPG antibody [4A8]. Red : Primary antibody Blue : Negative control antibody FACS analysis of Jurkat cells using GTX84191 Endothelial Lipase / LIPG antibody [4A8]. Red : Primary antibody Blue : Negative control antibody](https://www.genetex.com/upload/website/prouct_img/normal/GTX84191/GTX84191_320_FACS_w_23061420_337.webp)
FACS analysis of Jurkat cells using GTX84191 Endothelial Lipase / LIPG antibody [4A8]. Red : Primary antibody Blue : Negative control antibody
Endothelial Lipase / LIPG antibody [4A8]
GTX84191
ApplicationsFlow Cytometry, ImmunoFluorescence, ImmunoPrecipitation, Western Blot, ImmunoCytoChemistry, ImmunoHistoChemistry, ImmunoHistoChemistry Paraffin
Product group Antibodies
ReactivityHuman, Monkey, Mouse
TargetLIPG
Overview
- SupplierGeneTex
- Product NameEndothelial Lipase / LIPG antibody [4A8]
- Delivery Days Customer9
- Application Supplier NoteWB: 1:2000. ICC/IF: 1:100. IHC-P: 1:50. FACS: 1:100. IP: 2ug/500ul. *Optimal dilutions/concentrations should be determined by the researcher.Not tested in other applications.
- ApplicationsFlow Cytometry, ImmunoFluorescence, ImmunoPrecipitation, Western Blot, ImmunoCytoChemistry, ImmunoHistoChemistry, ImmunoHistoChemistry Paraffin
- CertificationResearch Use Only
- ClonalityMonoclonal
- Clone ID4A8
- Concentration0.87 mg/ml
- ConjugateUnconjugated
- Gene ID9388
- Target nameLIPG
- Target descriptionlipase G, endothelial type
- Target synonymsEDL, EL, PRO719, endothelial lipase, endothelial cell-derived lipase, lipase, endothelial, lipoprotein lipase H, phospholipase A1
- HostMouse
- IsotypeIgG2a
- Protein IDQ9Y5X9
- Protein NameEndothelial lipase
- Scientific DescriptionHas phospholipase and triglyceride lipase activities. Hydrolyzes high density lipoproteins (HDL) more efficiently than other lipoproteins. Binds heparin.
- ReactivityHuman, Monkey, Mouse
- Storage Instruction-20°C or -80°C,2°C to 8°C
- UNSPSC12352203
![IHC-P analysis of human prostate carcinoma tissue using GTX84191 Endothelial Lipase / LIPG antibody [4A8]. Antigen retrieval : Heat-induced epitope retrieval by 10mM citrate buffer, pH6.0, 100oC for 10min. IHC-P analysis of human prostate carcinoma tissue using GTX84191 Endothelial Lipase / LIPG antibody [4A8]. Antigen retrieval : Heat-induced epitope retrieval by 10mM citrate buffer, pH6.0, 100oC for 10min.](https://www.genetex.com/upload/website/prouct_img/normal/GTX84191/GTX84191_2452_IHC-P_w_23061420_640.webp)
![WB analysis of various cell lines and human liver tissue lysate using GTX84191 Endothelial Lipase / LIPG antibody [4A8]. Loading : 10 ug per lane Dilution : 1:200 WB analysis of various cell lines and human liver tissue lysate using GTX84191 Endothelial Lipase / LIPG antibody [4A8]. Loading : 10 ug per lane Dilution : 1:200](https://www.genetex.com/upload/website/prouct_img/normal/GTX84191/GTX84191_3504_WB_w_23061420_140.webp)
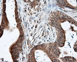
![IHC-P analysis of human colon adenocarcinoma tissue using GTX84191 Endothelial Lipase / LIPG antibody [4A8]. Antigen retrieval : Heat-induced epitope retrieval by 10mM citrate buffer, pH6.0, 100oC for 10min. IHC-P analysis of human colon adenocarcinoma tissue using GTX84191 Endothelial Lipase / LIPG antibody [4A8]. Antigen retrieval : Heat-induced epitope retrieval by 10mM citrate buffer, pH6.0, 100oC for 10min.](https://www.genetex.com/upload/website/prouct_img/normal/GTX84191/GTX84191_2449_IHC-P_w_23061420_550.webp)
![FACS analysis of HeLa cells using GTX84191 Endothelial Lipase / LIPG antibody [4A8]. Red : Primary antibody Blue : Negative control antibody FACS analysis of HeLa cells using GTX84191 Endothelial Lipase / LIPG antibody [4A8]. Red : Primary antibody Blue : Negative control antibody](https://www.genetex.com/upload/website/prouct_img/normal/GTX84191/GTX84191_319_FACS_w_23061420_271.webp)
![IHC-P analysis of human liver carcinoma tissue using GTX84191 Endothelial Lipase / LIPG antibody [4A8]. Antigen retrieval : Heat-induced epitope retrieval by 10mM citrate buffer, pH6.0, 100oC for 10min. IHC-P analysis of human liver carcinoma tissue using GTX84191 Endothelial Lipase / LIPG antibody [4A8]. Antigen retrieval : Heat-induced epitope retrieval by 10mM citrate buffer, pH6.0, 100oC for 10min.](https://www.genetex.com/upload/website/prouct_img/normal/GTX84191/GTX84191_2451_IHC-P_w_23061420_473.webp)
![IHC-P analysis of human pancreas tissue using GTX84191 Endothelial Lipase / LIPG antibody [4A8]. Antigen retrieval : Heat-induced epitope retrieval by 10mM citrate buffer, pH6.0, 100oC for 10min. IHC-P analysis of human pancreas tissue using GTX84191 Endothelial Lipase / LIPG antibody [4A8]. Antigen retrieval : Heat-induced epitope retrieval by 10mM citrate buffer, pH6.0, 100oC for 10min.](https://www.genetex.com/upload/website/prouct_img/normal/GTX84191/GTX84191_2454_IHC-P_w_23061420_470.webp)
![IHC-P analysis of human liver tissue using GTX84191 Endothelial Lipase / LIPG antibody [4A8]. Antigen retrieval : Heat-induced epitope retrieval by 10mM citrate buffer, pH6.0, 100oC for 10min. IHC-P analysis of human liver tissue using GTX84191 Endothelial Lipase / LIPG antibody [4A8]. Antigen retrieval : Heat-induced epitope retrieval by 10mM citrate buffer, pH6.0, 100oC for 10min.](https://www.genetex.com/upload/website/prouct_img/normal/GTX84191/GTX84191_2453_IHC-P_w_23061420_700.webp)
![IHC-P analysis of human prostate tissue using GTX84191 Endothelial Lipase / LIPG antibody [4A8]. Antigen retrieval : Heat-induced epitope retrieval by 10mM citrate buffer, pH6.0, 100oC for 10min. IHC-P analysis of human prostate tissue using GTX84191 Endothelial Lipase / LIPG antibody [4A8]. Antigen retrieval : Heat-induced epitope retrieval by 10mM citrate buffer, pH6.0, 100oC for 10min.](https://www.genetex.com/upload/website/prouct_img/normal/GTX84191/GTX84191_2455_IHC-P_w_23061420_823.webp)
![FACS analysis of HEK293T cells transfected with either Endothelial Lipase / LIPG plasmid(Red) or empty vector control plasmid(Blue) using GTX84191 Endothelial Lipase / LIPG antibody [4A8]. FACS analysis of HEK293T cells transfected with either Endothelial Lipase / LIPG plasmid(Red) or empty vector control plasmid(Blue) using GTX84191 Endothelial Lipase / LIPG antibody [4A8].](https://www.genetex.com/upload/website/prouct_img/normal/GTX84191/GTX84191_321_FACS_w_23061420_265.webp)







