
Indirect ELISA analysis was performed by coating the plate with recombinant E.coli expressed, full-length human EPO protein, His and GST tag (active) (GTX00422-pro) (500-7.81 ng/mL). Coated protein was probed with EPO antibody (GTX100813) (1 μg/mL). Goat anti-rabbit IgG antibody (HRP) (GTX213110-01) (1:10000) was used to detect the bound primary antibody.
EPO antibody
GTX100813
ApplicationsWestern Blot, ELISA, ImmunoHistoChemistry, ImmunoHistoChemistry Paraffin
Product group Antibodies
ReactivityHuman, Mouse, Rat
TargetEPO
Overview
- SupplierGeneTex
- Product NameEPO antibody
- Delivery Days Customer9
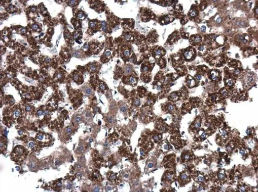
- Application Supplier NoteWB: 1:5000-1:20000. IHC-P: 1:100-1:1000. ELISA: 1:1000-1:10000. *Optimal dilutions/concentrations should be determined by the researcher.Not tested in other applications.
- ApplicationsWestern Blot, ELISA, ImmunoHistoChemistry, ImmunoHistoChemistry Paraffin
- CertificationResearch Use Only
- ClonalityPolyclonal
- Concentration0.62 mg/ml
- ConjugateUnconjugated
- Gene ID2056
- Target nameEPO
- Target descriptionerythropoietin
- Target synonymsDBAL, ECYT5, EP, MVCD2, erythropoietin, epoetin
- HostRabbit
- IsotypeIgG
- Protein IDP01588
- Protein NameErythropoietin
- Scientific DescriptionThis gene is a member of the EPO/TPO family and encodes a secreted, glycosylated cytokine composed of four alpha helical bundles. The protein is found in the plasma and regulates red cell production by promoting erythroid differentiation and initiating hemoglobin synthesis. This protein also has neuroprotective activity against a variety of potential brain injuries and antiapoptotic functions in several tissue types. [provided by RefSeq]
- ReactivityHuman, Mouse, Rat
- Storage Instruction-20°C or -80°C,2°C to 8°C
- UNSPSC12352203








![The cell proliferation of the TF-1 human erythroleukemic cell line induced by Human Erythropoietin/EPO and neutralization by Erythropoietin Antibody. Proliferation elicited by Recombinant Human Erythropoietin/EPO (0.4 ng/mL) is neutralized by increasing concentrations of EPO antibody [HL2752] (GTX639615).](https://www.genetex.com/upload/website/prouct_img/normal/GTX639615/GTX639615_T-45278_20240524_Functionalassay_24052802_265.webp)