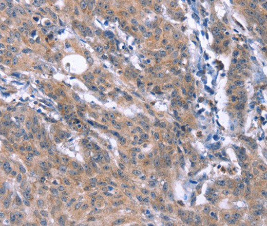
Immunohistochemistry of paraffin-embedded Human gasrtic cancer tissue using ESPL1 Polyclonal Antibody at dilution 1:40
ESPL1 Polyclonal Antibody
E-AB-16415
Product group Antibodies
Overview
- SupplierElabscience
- Product NameESPL1 Polyclonal Antibody
- Delivery Days Customer12
- Applications SupplierELISA IHC
- CertificationResearch Use Only
- Concentration1mg/ml
- Scientific DescriptionStable cohesion between sister chromatids before anaphase and their timely separation during anaphase are critical for chromosome inheritance. In vertebrates, sister chromatid cohesion is released in 2 steps via distinct mechanisms. The first step involves phosphorylation of STAG1 or STAG2 in the cohesin complex. The second step involves cleavage of the cohesin subunit SCC1 by ESPL1, or separase, which initiates the final separation of sister chromatids.
- UNSPSC12352203

![ICC/IF analysis of HeLa cells using GTX15955 Separase antibody [XJ11-4D7]. Red : primary antibody Green : gamma tubulin Blue : DAPI](https://www.genetex.com/upload/website/prouct_img/normal/GTX15955/GTX15955_137_ICC-IF_w_23060620_282.webp)




