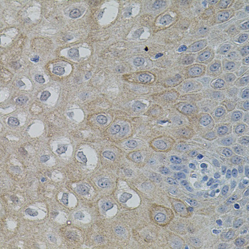
Immunohistochemistry of paraffin-embedded Human esophagus using FAK Polyclonal Antibody at dilution of 1:100 (40x lens).
FAK Polyclonal Antibody
E-AB-60617
Product group Antibodies
Overview
- SupplierElabscience
- Product NameFAK Polyclonal Antibody
- Delivery Days Customer12
- CertificationResearch Use Only
- Scientific DescriptionThis gene encodes a cytoplasmic protein tyrosine kinase which is found concentrated in the focal adhesions that form between cells growing in the presence of extracellular matrix constituents. The encoded protein is a member of the FAK subfamily of protein tyrosine kinases but lacks significant sequence similarity to kinases from other subfamilies. Activation of this gene may be an important early step in cell growth and intracellular signal transduction pathways triggered in response to certain neural peptides or to cell interactions with the extracellular matrix. Several transcript variants encoding different isoforms have been found for this gene.
- UNSPSC12352203






