
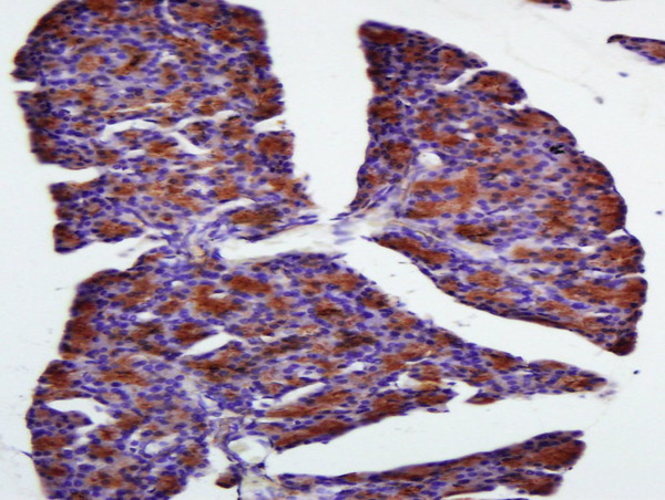
Paraformaldehyde-fixed, paraffin embedded Rat Pancreas tissue; Antigen retrieval by boiling in sodium citrate buffer(pH6) for 15min; Block endogenous peroxidase by 3% hydrogen peroxide for 30 minutes; Blocking buffer (normal goat serum) at 37°C for 30min; Antibody incubation with FAM134B Polyclonal Antibody, Unconjugated (bs-13136R) at 1:200 overnight at 4°C, followed by a conjugated secondary and DAPI staining
FAM134B Polyclonal Antibody
BS-13136R
ApplicationsFlow Cytometry, ImmunoFluorescence, Western Blot, ELISA, ImmunoCytoChemistry, ImmunoHistoChemistry, ImmunoHistoChemistry Frozen, ImmunoHistoChemistry Paraffin
Product group Antibodies
ReactivityBovine, Human, Mouse, Rabbit, Rat
TargetRETREG1
Overview
- SupplierBioss
- Product NameFAM134B Polyclonal Antibody
- Delivery Days Customer16
- ApplicationsFlow Cytometry, ImmunoFluorescence, Western Blot, ELISA, ImmunoCytoChemistry, ImmunoHistoChemistry, ImmunoHistoChemistry Frozen, ImmunoHistoChemistry Paraffin
- Applications SupplierWB(1:300-5000), ELISA(1:500-1000), FCM(1:20-100), IHC-P(1:200-400), IHC-F(1:100-500), IF(IHC-P)(1:50-200), IF(IHC-F)(1:50-200), IF(ICC)(1:50-200)
- CertificationResearch Use Only
- ClonalityPolyclonal
- Concentration1 ug/ul
- ConjugateUnconjugated
- Gene ID54463
- Target nameRETREG1
- Target descriptionreticulophagy regulator 1
- Target synonymsFAM134B, JK-1, JK1, reticulophagy regulator 1, family with sequence similarity 134 member B, protein FAM134B, reticulophagy receptor 1, reticulophagy receptor FAM134B
- HostRabbit
- IsotypeIgG
- Protein IDQ9H6L5
- Protein NameReticulophagy regulator 1
- ReactivityBovine, Human, Mouse, Rabbit, Rat
- Storage Instruction-20°C
- UNSPSC41116161











