FBXL17 Antibody, FITC conjugated
CSB-PA866216LC01HU
ReactivityHuman
Product group Antibodies
TargetFBXL17
Overview
- SupplierCusabio
- Product NameFBXL17 Antibody, FITC conjugated
- Delivery Days Customer20
- CertificationResearch Use Only
- ClonalityPolyclonal
- ConjugateFITC
- Gene ID64839
- Target nameFBXL17
- Target descriptionF-box and leucine rich repeat protein 17
- Target synonymsFBXO13, Fbl17, Fbx13, F-box/LRR-repeat protein 17, F-box only protein 13
- HostRabbit
- IsotypeIgG
- Protein IDQ9UF56
- Protein NameF-box/LRR-repeat protein 17
- Scientific DescriptionSubstrate-recognition component of the SCF (SKP1-CUL1-F-box protein)-type E3 ubiquitin ligase complex.
- ReactivityHuman
- Storage Instruction-20°C or -80°C
- UNSPSC41116161




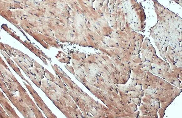
![FBXL17 antibody [C1C3] detects FBXL17 protein at cytoplasm and nucleus by immunohistochemical analysis. Sample: Paraffin-embedded mouse heart. FBXL17 stained by FBXL17 antibody [C1C3] (GTX119211) diluted at 1:500. Antigen Retrieval: Citrate buffer, pH 6.0, 15 min](https://www.genetex.com/upload/website/prouct_img/normal/GTX119211/GTX119211_44146_20210507_IHC-P_M_w_23060519_305.webp)