
Various whole cell extracts (30 μg) were separated by 5% SDS-PAGE, and the membrane was blotted with FGFR4 antibody (GTX134355) diluted at 1:500. The HRP-conjugated anti-rabbit IgG antibody (GTX213110-01) was used to detect the primary antibody.
FGFR4 antibody
GTX134355
ApplicationsWestern Blot, ImmunoHistoChemistry, ImmunoHistoChemistry Paraffin
Product group Antibodies
ReactivityHuman, Mouse
TargetFGFR4
Overview
- SupplierGeneTex
- Product NameFGFR4 antibody
- Delivery Days Customer9
- Application Supplier NoteWB: 1:500-1:3000. *Optimal dilutions/concentrations should be determined by the researcher.Not tested in other applications.
- ApplicationsWestern Blot, ImmunoHistoChemistry, ImmunoHistoChemistry Paraffin
- CertificationResearch Use Only
- ClonalityPolyclonal
- Concentration0.72 mg/ml
- ConjugateUnconjugated
- Gene ID2264
- Target nameFGFR4
- Target descriptionfibroblast growth factor receptor 4
- Target synonymsCD334, JTK2, TKF, fibroblast growth factor receptor 4, hydroxyaryl-protein kinase, protein-tyrosine kinase, tyrosine kinase related to fibroblast growth factor receptor, tyrosylprotein kinase
- HostRabbit
- IsotypeIgG
- Protein IDP22455
- Protein NameFibroblast growth factor receptor 4
- Scientific DescriptionThe protein encoded by this gene is a tyrosine kinase and cell surface receptor for fibroblast growth factors. The encoded protein is involved in the regulation of several pathways, including cell proliferation, cell differentiation, cell migration, lipid metabolism, bile acid biosynthesis, vitamin D metabolism, glucose uptake, and phosphate homeostasis. This protein consists of an extracellular region, composed of three immunoglobulin-like domains, a single hydrophobic membrane-spanning segment, and a cytoplasmic tyrosine kinase domain. The extracellular portion interacts with fibroblast growth factors, setting in motion a cascade of downstream signals, ultimately influencing mitogenesis and differentiation. [provided by RefSeq, Aug 2017]
- ReactivityHuman, Mouse
- Storage Instruction-20°C or -80°C,2°C to 8°C
- UNSPSC41116161






![ICC/IF analysis of methanol-fixed HEK293 cells trasfected with FGFR4-hIgGFc using GTX83129 FGFR4 antibody [7H1]. Green : FGFR4 Blue: DRAQ5 fluorescent DNA dye](https://www.genetex.com/upload/website/prouct_img/normal/GTX83129/GTX83129_20170912_ICCIF_w_23061322_561.webp)
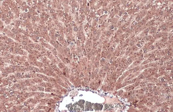
![IHC-P analysis of human liver tissue using GTX83291 FGFR4 antibody [4H2B10B2].](https://www.genetex.com/upload/website/prouct_img/normal/GTX83291/GTX83291_20170912_IHC-P_w_23061322_634.webp)
