![Various whole cell extracts (30 μg) were separated by 12% SDS-PAGE, and the membrane was blotted with FOXI1 antibody [N2C3] (GTX114408) diluted at 1:500. The HRP-conjugated anti-rabbit IgG antibody (GTX213110-01) was used to detect the primary antibody. Various whole cell extracts (30 μg) were separated by 12% SDS-PAGE, and the membrane was blotted with FOXI1 antibody [N2C3] (GTX114408) diluted at 1:500. The HRP-conjugated anti-rabbit IgG antibody (GTX213110-01) was used to detect the primary antibody.](https://www.genetex.com/upload/website/prouct_img/normal/GTX114408/GTX114408_43628_20190705_WB_22072519_174.webp)
Various whole cell extracts (30 μg) were separated by 12% SDS-PAGE, and the membrane was blotted with FOXI1 antibody [N2C3] (GTX114408) diluted at 1:500. The HRP-conjugated anti-rabbit IgG antibody (GTX213110-01) was used to detect the primary antibody.
FOXI1 antibody [N2C3]
GTX114408
ApplicationsImmunoFluorescence, Western Blot, ImmunoCytoChemistry, ImmunoHistoChemistry, ImmunoHistoChemistry Paraffin
Product group Antibodies
ReactivityHuman, Mouse
TargetFOXI1
Overview
- SupplierGeneTex
- Product NameFOXI1 antibody [N2C3]
- Delivery Days Customer9
- Application Supplier NoteWB: 1:500-1:3000. ICC/IF: 1:100-1:1000. IHC-P: 1:100-1:1000. *Optimal dilutions/concentrations should be determined by the researcher.Not tested in other applications.
- ApplicationsImmunoFluorescence, Western Blot, ImmunoCytoChemistry, ImmunoHistoChemistry, ImmunoHistoChemistry Paraffin
- CertificationResearch Use Only
- ClonalityPolyclonal
- Concentration0.5 mg/ml
- ConjugateUnconjugated
- Gene ID2299
- Target nameFOXI1
- Target descriptionforkhead box I1
- Target synonymsFKH10, FKHL10, FREAC-6, FREAC6, HFH-3, HFH3, forkhead box protein I1, HNF-3/fork-head homolog-3, forkhead-like 10, forkhead-related activator 6, forkhead-related protein FKHL10, forkhead-related transcription factor 6, hepatocyte nuclear factor 3 forkhead homolog 3
- HostRabbit
- IsotypeIgG
- Protein IDQ12951
- Protein NameForkhead box protein I1
- Scientific DescriptionThis gene belongs to the forkhead family of transcription factors which is characterized by a distinct forkhead domain. The specific function of this gene has not yet been determined; however, it is possible that this gene plays an important role in the development of the cochlea and vestibulum, as well as embryogenesis. Mutations in this gene may be associated with the common cavity phenotype. Two transcript variants encoding different isoforms have been found for this gene. [provided by RefSeq]
- ReactivityHuman, Mouse
- Storage Instruction-20°C or -80°C,2°C to 8°C
- UNSPSC41116161


![Various whole cell extracts (30 μg) were separated by 12% SDS-PAGE, and the membrane was blotted with FOXI1 antibody [N2C3] (GTX114408) diluted at 1:500. The HRP-conjugated anti-rabbit IgG antibody (GTX213110-01) was used to detect the primary antibody. Various whole cell extracts (30 μg) were separated by 12% SDS-PAGE, and the membrane was blotted with FOXI1 antibody [N2C3] (GTX114408) diluted at 1:500. The HRP-conjugated anti-rabbit IgG antibody (GTX213110-01) was used to detect the primary antibody.](https://www.genetex.com/upload/website/prouct_img/normal/GTX114408/GTX114408_40184_20171201_WB_2_w_23060501_758.webp)
![Non-transfected (–) and transfected (+) 293T whole cell extracts (30 μg) were separated by 12% SDS-PAGE, and the membrane was blotted with FOXI1 antibody [N2C3] (GTX114408) diluted at 1:2000. The HRP-conjugated anti-rabbit IgG antibody (GTX213110-01) was used to detect the primary antibody. Non-transfected (–) and transfected (+) 293T whole cell extracts (30 μg) were separated by 12% SDS-PAGE, and the membrane was blotted with FOXI1 antibody [N2C3] (GTX114408) diluted at 1:2000. The HRP-conjugated anti-rabbit IgG antibody (GTX213110-01) was used to detect the primary antibody.](https://www.genetex.com/upload/website/prouct_img/normal/GTX114408/GTX114408_40184_20180615_WB_B_w_23060501_579.webp)
![HepG2 whole cell and nuclear extracts (30 μg) were separated by 12% SDS-PAGE, and the membrane was blotted with FOXI1 antibody [N2C3] (GTX114408) diluted at 1:1000. The HRP-conjugated anti-rabbit IgG antibody (GTX213110-01) was used to detect the primary antibody. HepG2 whole cell and nuclear extracts (30 μg) were separated by 12% SDS-PAGE, and the membrane was blotted with FOXI1 antibody [N2C3] (GTX114408) diluted at 1:1000. The HRP-conjugated anti-rabbit IgG antibody (GTX213110-01) was used to detect the primary antibody.](https://www.genetex.com/upload/website/prouct_img/normal/GTX114408/GTX114408_40184_20180706_WB_Fraction_w_23060501_282.webp)
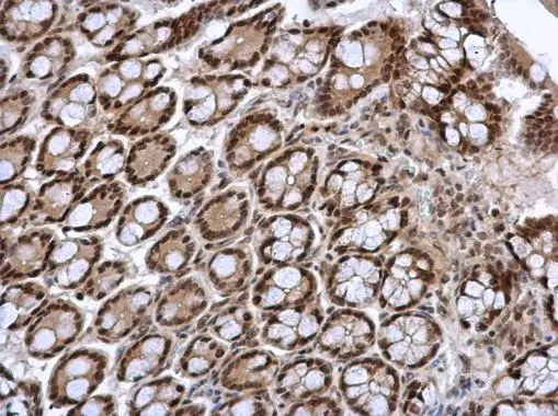
![FOXI1 antibody [N2C3] detects FOXI1 protein at cytoplasm and nucleus in mouse colon by immunohistochemical analysis. Sample: Paraffin-embedded mouse colon. FOXI1 antibody [N2C3] (GTX114408) diluted at 1:500.
Antigen Retrieval: Citrate buffer, pH 6.0, 15 min FOXI1 antibody [N2C3] detects FOXI1 protein at cytoplasm and nucleus in mouse colon by immunohistochemical analysis. Sample: Paraffin-embedded mouse colon. FOXI1 antibody [N2C3] (GTX114408) diluted at 1:500.
Antigen Retrieval: Citrate buffer, pH 6.0, 15 min](https://www.genetex.com/upload/website/prouct_img/normal/GTX114408/GTX114408_40184_20150601_IHC_M_w_23060501_374.webp)






