
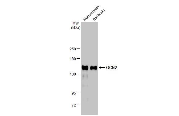
Various whole cell extracts (30 μg) were separated by 5% SDS-PAGE, and the membrane was blotted with GCN2 antibody (GTX135252) diluted at 1:10000. The HRP-conjugated anti-rabbit IgG antibody (GTX213110-01) was used to detect the primary antibody.
GCN2 antibody
GTX135252
ApplicationsWestern Blot
Product group Antibodies
ReactivityHuman, Mouse, Rat
TargetEIF2AK4
Overview
- SupplierGeneTex
- Product NameGCN2 antibody
- Delivery Days Customer9
- Application Supplier NoteWB: 1:1000-1:10000. *Optimal dilutions/concentrations should be determined by the researcher.Not tested in other applications.
- ApplicationsWestern Blot
- CertificationResearch Use Only
- ClonalityPolyclonal
- Concentration1.04 mg/ml
- ConjugateUnconjugated
- Gene ID440275
- Target nameEIF2AK4
- Target descriptioneukaryotic translation initiation factor 2 alpha kinase 4
- Target synonymsGCN2, PVOD2, eIF-2-alpha kinase GCN2, GCN2 eIF2alpha kinase, GCN2-like protein, general control nonderepressible 2
- HostRabbit
- IsotypeIgG
- Protein IDQ9P2K8
- Protein NameeIF-2-alpha kinase GCN2
- Scientific DescriptionThis gene encodes a member of a family of kinases that phosphorylate the alpha subunit of eukaryotic translation initiation factor-2 (EIF2), resulting in the downregulaton of protein synthesis. The encoded protein responds to amino acid deprivation by binding uncharged transfer RNAs. It may also be activated by glucose deprivation and viral infection. Mutations in this gene have been found in individuals suffering from autosomal recessive pulmonary venoocclusive-disease-2. [provided by RefSeq, Mar 2014]
- ReactivityHuman, Mouse, Rat
- Storage Instruction-20°C or -80°C,2°C to 8°C
- UNSPSC41116161







