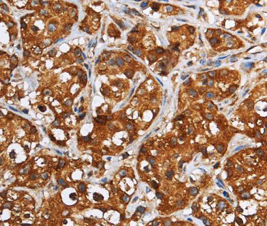
Immunohistochemistry of paraffin-embedded Human breast cancer tissue using GGCX Polyclonal Antibody at dilution 1:60
GGCX Polyclonal Antibody
E-AB-15065
Product group Antibodies
Overview
- SupplierElabscience
- Product NameGGCX Polyclonal Antibody
- Delivery Days Customer12
- Applications SupplierELISA IHC
- CertificationResearch Use Only
- Concentration0.6mg/ml
- Scientific DescriptionThis gene encodes an enzyme which catalyzes the posttranslational modification of vitamin K-dependent protein. Many of these vitamin K-dependent proteins are involved in coagulation so the function of the encoded enzyme is essential for hemostasis. Mutations in this gene are associated with vitamin K-dependent coagulation defect and PXE-like disorder with multiple coagulation factor deficiency. Multiple transcript variants encoding different isoforms have been found for this gene.
- UNSPSC12352203







