![Various tissue extracts (50 μg) were separated by 7.5% SDS-PAGE, and the membrane was blotted with GIT1 antibody [GT87] (GTX641942) diluted at 1:1000. The HRP-conjugated anti-mouse IgG antibody (GTX213111-01) was used to detect the primary antibody. Various tissue extracts (50 μg) were separated by 7.5% SDS-PAGE, and the membrane was blotted with GIT1 antibody [GT87] (GTX641942) diluted at 1:1000. The HRP-conjugated anti-mouse IgG antibody (GTX213111-01) was used to detect the primary antibody.](https://www.genetex.com/upload/website/prouct_img/normal/GTX641942/GTX641942_45663_20250124_WB_M_R_25020422_249.webp)
Various tissue extracts (50 μg) were separated by 7.5% SDS-PAGE, and the membrane was blotted with GIT1 antibody [GT87] (GTX641942) diluted at 1:1000. The HRP-conjugated anti-mouse IgG antibody (GTX213111-01) was used to detect the primary antibody.
GIT1 antibody [GT87]
GTX641942
ApplicationsImmunoFluorescence, Western Blot, ImmunoCytoChemistry, ImmunoHistoChemistry, ImmunoHistoChemistry Paraffin
Product group Antibodies
ReactivityHuman, Mouse, Rat
TargetGIT1
Overview
- SupplierGeneTex
- Product NameGIT1 antibody [GT87]
- Delivery Days Customer9
- Application Supplier NoteWB: 1:500-1:3000. *Optimal dilutions/concentrations should be determined by the researcher.Not tested in other applications.
- ApplicationsImmunoFluorescence, Western Blot, ImmunoCytoChemistry, ImmunoHistoChemistry, ImmunoHistoChemistry Paraffin
- CertificationResearch Use Only
- ClonalityMonoclonal
- Clone IDGT87
- Concentration1 mg/ml
- ConjugateUnconjugated
- Gene ID28964
- Target nameGIT1
- Target descriptionGIT ArfGAP 1
- Target synonymsp95-APP1, ARF GTPase-activating protein GIT1, ARF GAP GIT1, CAT-1, CAT1, G protein-coupled receptor kinase interacting ArfGAP 1, G protein-coupled receptor kinase-interactor 1, GRK-interacting protein 1, cool-associated and tyrosine-phosphorylated protein 1
- HostMouse
- IsotypeIgG2b
- Protein IDQ9Y2X7
- Protein NameARF GTPase-activating protein GIT1
- Scientific DescriptionEnables gamma-tubulin binding activity. Involved in positive regulation of microtubule nucleation and regulation of cytokinesis. Located in several cellular components, including focal adhesion; microtubule cytoskeleton; and mitochondrion. Implicated in attention deficit hyperactivity disorder. Biomarker of Huntingtons disease. [provided by Alliance of Genome Resources, Jan 2025]
- ReactivityHuman, Mouse, Rat
- Storage Instruction-20°C or -80°C,2°C to 8°C
- UNSPSC41116161
![Various whole cell extracts (30 μg) were separated by 7.5% SDS-PAGE, and the membrane was blotted with GIT1 antibody [GT87] (GTX641942) diluted at 1:1000. The HRP-conjugated anti-mouse IgG antibody (GTX213111-01) was used to detect the primary antibody. Corresponding RNA expression data for the same cell lines are based on Human Protein Atlas program. Various whole cell extracts (30 μg) were separated by 7.5% SDS-PAGE, and the membrane was blotted with GIT1 antibody [GT87] (GTX641942) diluted at 1:1000. The HRP-conjugated anti-mouse IgG antibody (GTX213111-01) was used to detect the primary antibody. Corresponding RNA expression data for the same cell lines are based on Human Protein Atlas program.](https://www.genetex.com/upload/website/prouct_img/normal/GTX641942/GTX641942_45663_20250124_WB_TPM_watermark_25020422_315.webp)
![GIT1 antibody [GT87] detects GIT1 protein by immunohistochemical analysis. Sample: Paraffin-embedded rat cerebellum. GIT1 stained by GIT1 antibody [GT87] (GTX641942) diluted at 1:200. Antigen Retrieval: Citrate buffer, pH 6.0, 15 min GIT1 antibody [GT87] detects GIT1 protein by immunohistochemical analysis. Sample: Paraffin-embedded rat cerebellum. GIT1 stained by GIT1 antibody [GT87] (GTX641942) diluted at 1:200. Antigen Retrieval: Citrate buffer, pH 6.0, 15 min](https://www.genetex.com/upload/website/prouct_img/normal/GTX641942/GTX641942_45663_20250606_IHC-P_R_25061300_697.webp)
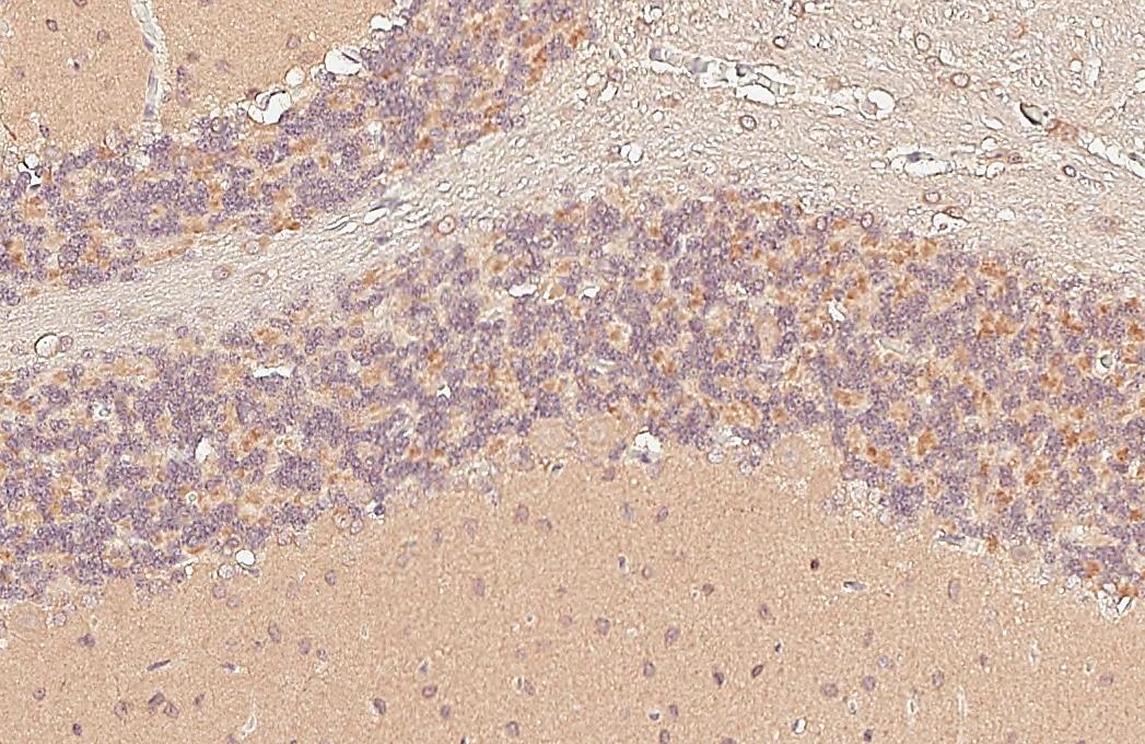
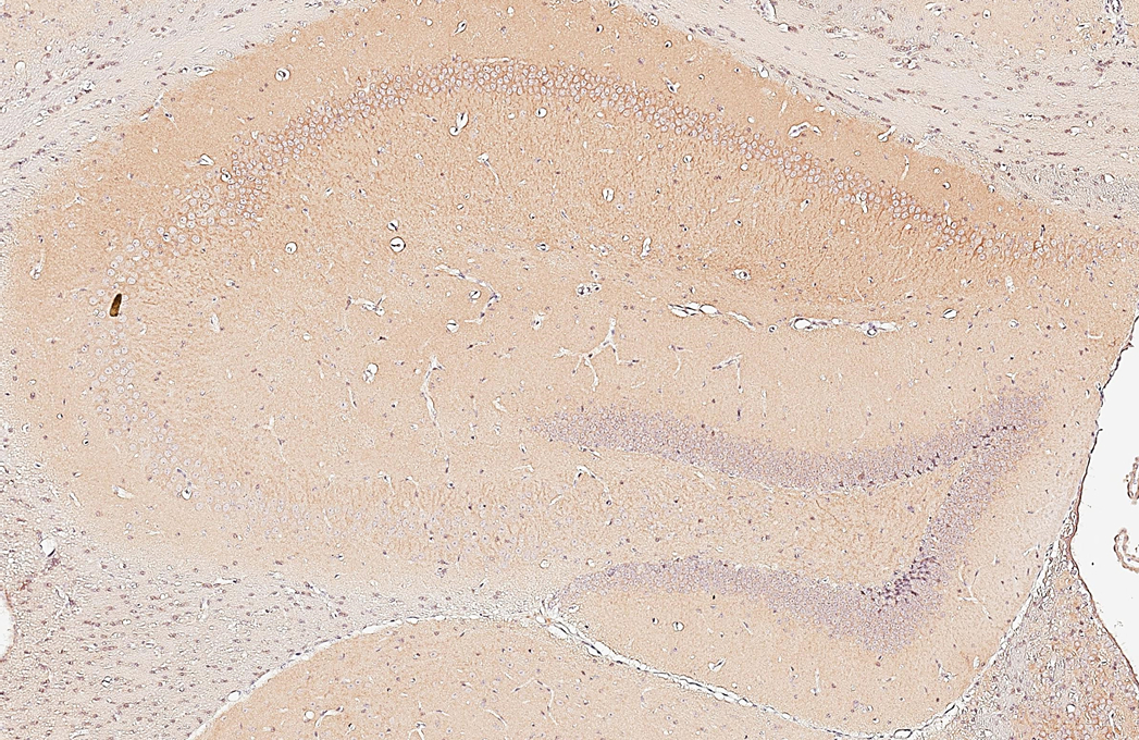
![GIT1 antibody [GT87] detects GIT1 protein by immunohistochemical analysis. Sample: Paraffin-embedded mouse hippocampus. GIT1 stained by GIT1 antibody [GT87] (GTX641942) diluted at 1:100. Antigen Retrieval: Citrate buffer, pH 6.0, 15 min GIT1 antibody [GT87] detects GIT1 protein by immunohistochemical analysis. Sample: Paraffin-embedded mouse hippocampus. GIT1 stained by GIT1 antibody [GT87] (GTX641942) diluted at 1:100. Antigen Retrieval: Citrate buffer, pH 6.0, 15 min](https://www.genetex.com/upload/website/prouct_img/normal/GTX641942/GTX641942_45663_20250523_IHC-P_M_2_25061300_900.webp)
![GIT1 antibody [GT87] detects GIT1 protein by immunohistochemical analysis. Sample: Paraffin-embedded mouse hippocampus. GIT1 stained by GIT1 antibody [GT87] (GTX641942) diluted at 1:100. Antigen Retrieval: Citrate buffer, pH 6.0, 15 min GIT1 antibody [GT87] detects GIT1 protein by immunohistochemical analysis. Sample: Paraffin-embedded mouse hippocampus. GIT1 stained by GIT1 antibody [GT87] (GTX641942) diluted at 1:100. Antigen Retrieval: Citrate buffer, pH 6.0, 15 min](https://www.genetex.com/upload/website/prouct_img/normal/GTX641942/GTX641942_45663_20250523_IHC-P_M_1_25061300_838.webp)
![GIT1 antibody [GT87] detects GIT1 protein by immunohistochemical analysis. Sample: Paraffin-embedded mouse tissues. GIT1 stained by GIT1 antibody [GT87] (GTX641942) diluted at 1:100. Antigen Retrieval: Citrate buffer, pH 6.0, 15 min GIT1 antibody [GT87] detects GIT1 protein by immunohistochemical analysis. Sample: Paraffin-embedded mouse tissues. GIT1 stained by GIT1 antibody [GT87] (GTX641942) diluted at 1:100. Antigen Retrieval: Citrate buffer, pH 6.0, 15 min](https://www.genetex.com/upload/website/prouct_img/normal/GTX641942/GTX641942_45663_20250523_IHC-P_M_Multiple_RPKM_25061300_251.webp)
![GIT1 antibody [GT87] detects GIT1 protein by immunofluorescent analysis. Sample: U87-MG cells were fixed in 4% paraformaldehyde at RT for 15 min. Green: GIT1 stained by GIT1 antibody [GT87] (GTX641942) diluted at 1:500. Red: alpha Tubulin, a cytoskeleton marker, stained by alpha Tubulin antibody [HL2162] (GTX638140) diluted at 1:500. Blue: Fluoroshield with DAPI (GTX30920). GIT1 antibody [GT87] detects GIT1 protein by immunofluorescent analysis. Sample: U87-MG cells were fixed in 4% paraformaldehyde at RT for 15 min. Green: GIT1 stained by GIT1 antibody [GT87] (GTX641942) diluted at 1:500. Red: alpha Tubulin, a cytoskeleton marker, stained by alpha Tubulin antibody [HL2162] (GTX638140) diluted at 1:500. Blue: Fluoroshield with DAPI (GTX30920).](https://www.genetex.com/upload/website/prouct_img/normal/GTX641942/GTX641942_45663_20250613_ICC_IF_25061901_356.webp)






