
Sample (30 ug of whole cell lysate) A: NIH-3T3 B: JC C: BCL-1 D: C2C12 E: Raw264.7 10% SDS PAGE GTX101930 diluted at 1:10000
GOT2 antibody
GTX101930
ApplicationsImmunoFluorescence, Western Blot, ImmunoCytoChemistry, ImmunoHistoChemistry, ImmunoHistoChemistry Paraffin
Product group Antibodies
ReactivityHuman, Mouse, Rat
TargetGOT2
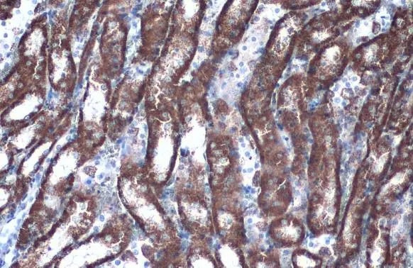
Overview
- SupplierGeneTex
- Product NameGOT2 antibody
- Delivery Days Customer9
- Application Supplier NoteWB: 1:5000-1:20000. ICC/IF: 1:100-1:1000. *Optimal dilutions/concentrations should be determined by the researcher.Not tested in other applications.
- ApplicationsImmunoFluorescence, Western Blot, ImmunoCytoChemistry, ImmunoHistoChemistry, ImmunoHistoChemistry Paraffin
- CertificationResearch Use Only
- ClonalityPolyclonal
- Concentration1 mg/ml
- ConjugateUnconjugated
- Gene ID2806
- Target nameGOT2
- Target descriptionglutamic-oxaloacetic transaminase 2
- Target synonymsDEE82, KAT4, KATIV, KYAT4, mitAAT, aspartate aminotransferase, mitochondrial, FABP-1, FABPpm, aspartate aminotransferase 2, aspartate transaminase 2, fatty acid-binding protein, glutamate oxaloacetate transaminase 2, glutamic-oxaloacetic transaminase 2, mitochondrial, kynurenine aminotransferase 4, kynurenine aminotransferase IV, kynurenine--oxoglutarate transaminase 4, kynurenine--oxoglutarate transaminase IV, mAspAT, plasma membrane-associated fatty acid-binding protein, transaminase A
- HostRabbit
- IsotypeIgG
- Protein IDP00505
- Protein NameAspartate aminotransferase, mitochondrial
- Scientific DescriptionGlutamic-oxaloacetic transaminase is a pyridoxal phosphate-dependent enzyme which exists in cytoplasmic and inner-membrane mitochondrial forms, GOT1 and GOT2, respectively. GOT plays a role in amino acid metabolism and the urea and tricarboxylic acid cycles. The two enzymes are homodimeric and show close homology. [provided by RefSeq]
- ReactivityHuman, Mouse, Rat
- Storage Instruction-20°C or -80°C,2°C to 8°C
- UNSPSC41116161











![WB analysis of HEK293 (1), PC-12 (2), HL-60 (3), BCBL-1 (4), HepG2 (5) and NIH3T3 (6) cell lysate using GTX83210 GOT2 antibody [3E9].](https://www.genetex.com/upload/website/prouct_img/normal/GTX83210/GTX83210_20170912_WB_w_23061322_351.webp)
