
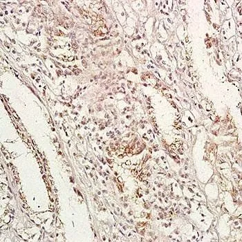
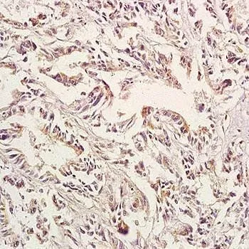
IHC-P analysis of human gastric carcinoma tissue using GTX37682 GPA33 antibody. Dilution : 1:200
GPA33 antibody
GTX37682
ApplicationsImmunoHistoChemistry, ImmunoHistoChemistry Paraffin
Product group Antibodies
ReactivityHuman
TargetGPA33
Overview
- SupplierGeneTex
- Product NameGPA33 antibody
- Delivery Days Customer9
- Application Supplier NoteIHC-P: 1:400-800. *Optimal dilutions/concentrations should be determined by the researcher.Not tested in other applications.
- ApplicationsImmunoHistoChemistry, ImmunoHistoChemistry Paraffin
- CertificationResearch Use Only
- ClonalityPolyclonal
- Concentration0.5 mg/ml
- ConjugateUnconjugated
- Gene ID10223
- Target nameGPA33
- Target descriptionglycoprotein A33
- Target synonymsA33, cell surface A33 antigen, glycoprotein A33 (transmembrane), transmembrane glycoprotein A33
- HostRabbit
- IsotypeIgG
- Protein IDQ99795
- Protein NameCell surface A33 antigen
- Scientific DescriptionThe glycoprotein encoded by this gene is a cell surface antigen that is expressed in greater than 95% of human colon cancers. The open reading frame encodes a 319-amino acid polypeptide having a putative secretory signal sequence and 3 potential glycosylation sites. The predicted mature protein has a 213-amino acid extracellular region, a single transmembrane domain, and a 62-amino acid intracellular tail. The sequence of the extracellular region contains 2 domains characteristic of the CD2 subgroup of the immunoglobulin (Ig) superfamily. [provided by RefSeq, Jul 2008]
- ReactivityHuman
- Storage Instruction-20°C or -80°C,2°C to 8°C
- UNSPSC41116161








