
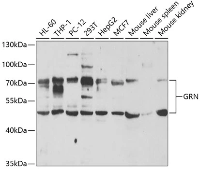
WB analysis of various sample lysates using GTX33228 Granulins antibody. The signal was developed with ECL plus-Enhanced. Dilution : 1:1000 Loading : 25microg per lane
Granulins antibody
GTX33228
ApplicationsWestern Blot
Product group Antibodies
ReactivityHuman, Mouse, Rat
TargetGRN
Overview
- SupplierGeneTex
- Product NameGranulins antibody
- Delivery Days Customer9
- Application Supplier NoteWB: 1:500 - 1:2000. *Optimal dilutions/concentrations should be determined by the researcher.Not tested in other applications.
- ApplicationsWestern Blot
- CertificationResearch Use Only
- ClonalityPolyclonal
- ConjugateUnconjugated
- Gene ID2896
- Target nameGRN
- Target descriptiongranulin precursor
- Target synonymsCLN11, FTD2, GEP, GP88, PCDGF, PEPI, PGRN, progranulin, PC cell-derived growth factor, acrogranin, epithelin, glycoprotein 88, glycoprotein of 88 Kda, granulin-epithelin, granulins, proepithelin
- HostRabbit
- IsotypeIgG
- Protein IDP28799
- Protein NameProgranulin
- Scientific DescriptionGranulins are a family of secreted, glycosylated peptides that are cleaved from a single precursor protein with 7.5 repeats of a highly conserved 12-cysteine granulin/epithelin motif. The 88 kDa precursor protein, progranulin, is also called proepithelin and PC cell-derived growth factor. Cleavage of the signal peptide produces mature granulin which can be further cleaved into a variety of active, 6 kDa peptides. These smaller cleavage products are named granulin A, granulin B, granulin C, etc. Epithelins 1 and 2 are synonymous with granulins A and B, respectively. Both the peptides and intact granulin protein regulate cell growth. However, different members of the granulin protein family may act as inhibitors, stimulators, or have dual actions on cell growth. Granulin family members are important in normal development, wound healing, and tumorigenesis. [provided by RefSeq, Jul 2008]
- ReactivityHuman, Mouse, Rat
- Storage Instruction-20°C or -80°C,2°C to 8°C
- UNSPSC12352203





