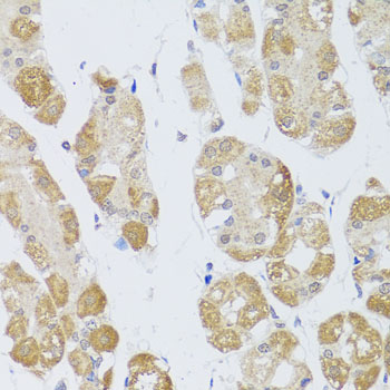
Immunohistochemistry of paraffin-embedded Human stomach using HDAC4 Polyclonal Antibody at dilution of 1:100 (40x lens).
HDAC4 Polyclonal Antibody
E-AB-63997
Product group Antibodies
Overview
- SupplierElabscience
- Product NameHDAC4 Polyclonal Antibody
- Delivery Days Customer12
- CertificationResearch Use Only
- Scientific DescriptionHistones play a critical role in transcriptional regulation, cell cycle progression, and developmental events. Histone acetylation/deacetylation alters chromosome structure and affects transcription factor access to DNA. The protein encoded by this gene belongs to class II of the histone deacetylase/acuc/apha family. It possesses histone deacetylase activity and represses transcription when tethered to a promoter. This protein does not bind DNA directly, but through transcription factors MEF2C and MEF2D. It seems to interact in a multiprotein complex with RbAp48 and HDAC3.
- UNSPSC12352203





