
Sample (30 ug of whole cell lysate) A: NT2D1 7.5% SDS PAGE GTX112565 diluted at 1:1000
HHIP antibody [C1C3]
GTX112565
ApplicationsWestern Blot
Product group Antibodies
ReactivityHuman
TargetHHIP
Overview
- SupplierGeneTex
- Product NameHHIP antibody [C1C3]
- Delivery Days Customer9
- Application Supplier NoteWB: 1:500-1:3000. *Optimal dilutions/concentrations should be determined by the researcher.Not tested in other applications.
- ApplicationsWestern Blot
- CertificationResearch Use Only
- ClonalityPolyclonal
- Concentration0.89 mg/ml
- ConjugateUnconjugated
- Gene ID64399
- Target nameHHIP
- Target descriptionhedgehog interacting protein
- Target synonymsHIP, hedgehog-interacting protein
- HostRabbit
- IsotypeIgG
- Protein IDQ96QV1
- Protein NameHedgehog-interacting protein
- Scientific DescriptionThis gene encodes a protein similar to the mouse hedgehog-interacting protein, a regulatory component of the hedgehog signalling pathway. Members of the hedgehog family are evolutionarily conserved proteins which are involved in many fundamental processes in embryonic development, including anteroposterior patterns of limbs and regulation of left-right asymmetry. [provided by RefSeq]
- ReactivityHuman
- Storage Instruction-20°C or -80°C,2°C to 8°C
- UNSPSC12352203
![Non-transfected (–) and transfected (+) 293T whole cell extracts (30 μg) were separated by 7.5% SDS-PAGE, and the membrane was blotted with HHIP antibody [C1C3] (GTX112565) diluted at 1:5000. The HRP-conjugated anti-rabbit IgG antibody (GTX213110-01) was used to detect the primary antibody. Non-transfected (–) and transfected (+) 293T whole cell extracts (30 μg) were separated by 7.5% SDS-PAGE, and the membrane was blotted with HHIP antibody [C1C3] (GTX112565) diluted at 1:5000. The HRP-conjugated anti-rabbit IgG antibody (GTX213110-01) was used to detect the primary antibody.](https://www.genetex.com/upload/website/prouct_img/normal/GTX112565/GTX112565_40688_20200306_WB_B_w_23060500_284.webp)



![HHIP antibody [N3C2], Internal detects HHIP protein at cytoplasm by immunohistochemical analysis. Sample: Paraffin-embedded mouse kidney. HHIP stained by HHIP antibody [N3C2], Internal (GTX112584) diluted at 1:500. Antigen Retrieval: Citrate buffer, pH 6.0, 15 min](https://www.genetex.com/upload/website/prouct_img/normal/GTX112584/GTX112584_44741_20220805_IHC-P_M_22081423_187.webp)
![HHIP antibody [HL1737] detects HHIP protein at cell membrane and cytoplasm by immunohistochemical analysis. Sample: Paraffin-embedded mouse intestine. HHIP stained by HHIP antibody [HL1737] (GTX637385) diluted at 1:100. Antigen Retrieval: Citrate buffer, pH 6.0, 15 min](https://www.genetex.com/upload/website/prouct_img/normal/GTX637385/GTX637385_T-44781_20220902_IHC-P_M_22101319_911.webp)
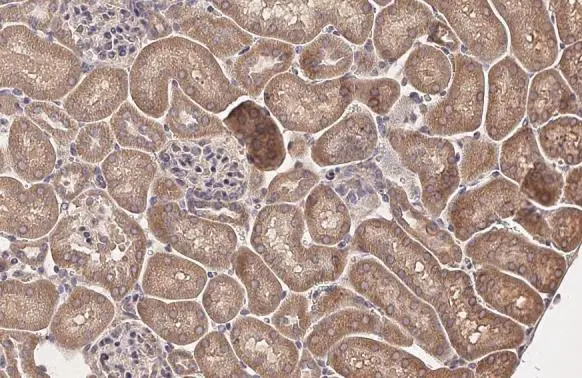
![HHIP antibody [HL1969] detects HHIP protein at cell membrane and secreted by immunohistochemical analysis. Sample: Paraffin-embedded mouse kidney. HHIP stained by HHIP antibody [HL1969] (GTX637862) diluted at 1:100. Antigen Retrieval: Citrate buffer, pH 6.0, 15 min](https://www.genetex.com/upload/website/prouct_img/normal/GTX637862/GTX637862_T-44858_20221111_IHC-P_M_1_22122018_387.webp)