
Lane 1: 293T cell lysates; Lane 2: HNRNPA2B1 knockout (KO) 293T cell lysates probed with HNRNPA2B1 Polyclonal Antibody, Unconjugated (bs-55101R) at 1:1000 dilution and 4˚C overnight incubation. Followed by conjugated secondary antibody incubation at 1:20000 for 60 min at 37˚C.
HNRNPA2B1 Polyclonal Antibody
BS-55101R
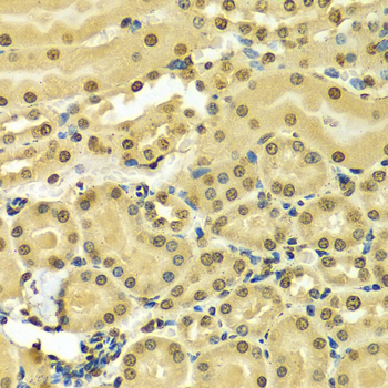
ApplicationsImmunoFluorescence, Western Blot, ImmunoCytoChemistry, ImmunoHistoChemistry, ImmunoHistoChemistry Paraffin
Product group Antibodies
ReactivityHuman, Mouse, Rat
TargetHNRNPA2B1
Overview
- SupplierBioss
- Product NameHNRNPA2B1 Polyclonal Antibody
- Delivery Days Customer16
- ApplicationsImmunoFluorescence, Western Blot, ImmunoCytoChemistry, ImmunoHistoChemistry, ImmunoHistoChemistry Paraffin
- Applications SupplierWB(1:300-5000), IHC-P(1:200-400), IF(ICC)(1:50-200), IHC(), IF()
- CertificationResearch Use Only
- ClonalityPolyclonal
- Concentration1 ug/ul
- ConjugateUnconjugated
- Gene ID3181
- Target nameHNRNPA2B1
- Target descriptionheterogeneous nuclear ribonucleoprotein A2/B1
- Target synonymsHNRNPA2, HNRNPB1, HNRPA2, HNRPA2B1, HNRPB1, IBMPFD2, OPMD2, RNPA2, SNRPB1, heterogeneous nuclear ribonucleoproteins A2/B1, HNRNPA2B1/MYC fusion, epididymis secretory sperm binding protein, hnRNP A2 / hnRNP B1, nuclear ribonucleoprotein particle A2 protein
- HostRabbit
- IsotypeIgG
- Protein IDP22626
- Protein NameHeterogeneous nuclear ribonucleoproteins A2/B1
- ReactivityHuman, Mouse, Rat
- Storage Instruction-20°C
- UNSPSC41116161













