IDE antibody [GT143]
GTX633694
ApplicationsWestern Blot, ImmunoHistoChemistry, ImmunoHistoChemistry Paraffin
Product group Antibodies
TargetIDE
Overview
- SupplierGeneTex
- Product NameIDE antibody [GT143]
- Delivery Days Customer9
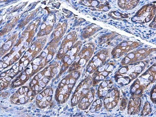
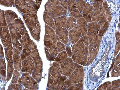
- Application Supplier NoteWB: 1:500-1:3000. IHC-P: 1:100-1:1000. *Optimal dilutions/concentrations should be determined by the researcher.Not tested in other applications.
- ApplicationsWestern Blot, ImmunoHistoChemistry, ImmunoHistoChemistry Paraffin
- CertificationResearch Use Only
- ClonalityMonoclonal
- Clone IDGT143
- Concentration1 mg/ml
- ConjugateUnconjugated
- Gene ID3416
- Target nameIDE
- Target descriptioninsulin degrading enzyme
- Target synonymsAbeta-degrading protease; insulin protease; insulinase; insulin-degrading enzyme; INSULYSIN
- HostMouse
- IsotypeIgG2b
- Protein IDP14735
- Protein NameInsulin-degrading enzyme
- Scientific DescriptionThis gene may belong to a protease family responsible for intercellular peptide signalling. Though its role in the cellular processing of insulin has not yet been defined, insulin-degrading enzyme is thought to be involved in the termination of the insulin response. [provided by RefSeq]
- Storage Instruction-20°C or -80°C,2°C to 8°C
- UNSPSC12352203







