
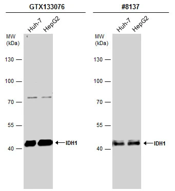
Whole cell extract (30 μg) was separated by 10% SDS-PAGE, and the membrane was blotted with IDH1 antibody (GTX133076) diluted at 1:1000.
IDH1 antibody
GTX133076
ApplicationsWestern Blot
Product group Antibodies
ReactivityHuman
TargetIDH1
Overview
- SupplierGeneTex
- Product NameIDH1 antibody
- Delivery Days Customer9
- Application Supplier NoteWB: 1:500-1:3000. *Optimal dilutions/concentrations should be determined by the researcher.Not tested in other applications.
- ApplicationsWestern Blot
- CertificationResearch Use Only
- ClonalityPolyclonal
- Concentration1.68 mg/ml
- ConjugateUnconjugated
- Gene ID3417
- Target nameIDH1
- Target descriptionisocitrate dehydrogenase (NADP(+)) 1
- Target synonymsHEL-216, HEL-S-26, IDCD, IDH, IDP, IDPC, PICD, isocitrate dehydrogenase [NADP] cytoplasmic, NADP(+)-specific ICDH, NADP-dependent isocitrate dehydrogenase, cytosolic, NADP-dependent isocitrate dehydrogenase, peroxisomal, epididymis luminal protein 216, epididymis secretory protein Li 26, epididymis secretory sperm binding protein, isocitrate dehydrogenase (NADP(+)) 1, cytosolic, isocitrate dehydrogenase 1 (NADP+), soluble, oxalosuccinate decarboxylase
- HostRabbit
- IsotypeIgG
- Protein IDO75874
- Protein NameIsocitrate dehydrogenase [NADP] cytoplasmic
- Scientific DescriptionIsocitrate dehydrogenases catalyze the oxidative decarboxylation of isocitrate to 2-oxoglutarate. These enzymes belong to two distinct subclasses, one of which utilizes NAD(+) as the electron acceptor and the other NADP(+). Five isocitrate dehydrogenases have been reported: three NAD(+)-dependent isocitrate dehydrogenases, which localize to the mitochondrial matrix, and two NADP(+)-dependent isocitrate dehydrogenases, one of which is mitochondrial and the other predominantly cytosolic. Each NADP(+)-dependent isozyme is a homodimer. The protein encoded by this gene is the NADP(+)-dependent isocitrate dehydrogenase found in the cytoplasm and peroxisomes. It contains the PTS-1 peroxisomal targeting signal sequence. The presence of this enzyme in peroxisomes suggests roles in the regeneration of NADPH for intraperoxisomal reductions, such as the conversion of 2, 4-dienoyl-CoAs to 3-enoyl-CoAs, as well as in peroxisomal reactions that consume 2-oxoglutarate, namely the alpha-hydroxylation of phytanic acid. The cytoplasmic enzyme serves a significant role in cytoplasmic NADPH production. [provided by RefSeq]
- ReactivityHuman
- Storage Instruction-20°C or -80°C,2°C to 8°C
- UNSPSC12352203





![IDH1 antibody [GT1521] detects IDH1 protein by western blot analysis. A. 30 μg 293T whole cell lysate/extract B. 30 μg A431 whole cell lysate/extract C. 30 μg HeLa whole cell lysate/extract D. 30 μg HepG2 whole cell lysate/extract 10% SDS-PAGE IDH1 antibody [GT1521] (GTX629818) dilution: 1:1000 The HRP-conjugated anti-mouse IgG antibody (GTX213111-01) was used to detect the primary antibody.](https://www.genetex.com/upload/website/prouct_img/normal/GTX629818/GTX629818_41463_WB_w_23061202_966.webp)
![WB analysis of HEK293T cells transfected with IDH1 plasmid (Right) or empty vector (Left) for 48 hrs using GTX84319 IDH1 antibody [2H9]. Loading : 5 ug per lane](https://www.genetex.com/upload/website/prouct_img/normal/GTX84319/GTX84319_4269_WB_w_23061420_409.webp)


