
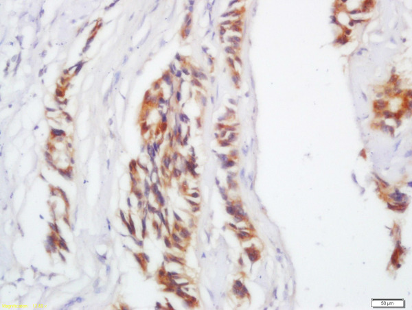
Paraformaldehyde-fixed, paraffin embedded Human colon cancer; Antigen retrieval by boiling in sodium citrate buffer (pH6.0) for 15min; Block endogenous peroxidase by 3% hydrogen peroxide for 20 minutes; Blocking buffer (normal goat serum) at 37°C for 30min; Antibody incubation with _x000D_ IL-17C Polyclonal Antibody, Unconjugated (bs-2611R) at 1:400 overnight at 4°C, DAB staining.
IL17C Polyclonal Antibody
BS-2611R
ApplicationsImmunoFluorescence, Western Blot, ELISA, ImmunoCytoChemistry, ImmunoHistoChemistry, ImmunoHistoChemistry Frozen, ImmunoHistoChemistry Paraffin
Product group Antibodies
ReactivityBovine, Canine, Equine, Human, Mouse, Rabbit, Rat
TargetIL17C
Overview
- SupplierBioss
- Product NameIL17C Polyclonal Antibody
- Delivery Days Customer16
- ApplicationsImmunoFluorescence, Western Blot, ELISA, ImmunoCytoChemistry, ImmunoHistoChemistry, ImmunoHistoChemistry Frozen, ImmunoHistoChemistry Paraffin
- Applications SupplierWB(1:300-5000), ELISA(1:500-1000), IHC-P(1:200-400), IHC-F(1:100-500), IF(IHC-P)(1:50-200), IF(IHC-F)(1:50-200), IF(ICC)(1:50-200)
- CertificationResearch Use Only
- ClonalityPolyclonal
- Concentration1 ug/ul
- ConjugateUnconjugated
- Gene ID27189
- Target nameIL17C
- Target descriptioninterleukin 17C
- Target synonymsCX2, IL-17C, interleukin-17C, cytokine CX2
- HostRabbit
- IsotypeIgG
- Protein IDQ9P0M4
- Protein NameInterleukin-17C
- ReactivityBovine, Canine, Equine, Human, Mouse, Rabbit, Rat
- Storage Instruction-20°C
- UNSPSC12352203
References
- Huang J, Yuan Q, Zhu H, et al. IL-17C/IL-17RE Augments T Cell Function in Autoimmune Hepatitis. J Immunol. 2017,198(2):669-680. doi: 10.4049/jimmunol.1600977Read this paper
- Huang J, Meng S, Hong S, et al. IL-17C is required for lethal inflammation during systemic fungal infection. Cell Mol Immunol. 2016,13(4):474-83. doi: 10.1038/cmi.2015.56Read this paper









