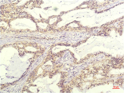
Immunohistochemistry of paraffin-embedded Human lung carcinoma tissue using IL8 Monoclonal Antibody at dilution of 1:200.
IL8 Monoclonal Antibody
E-AB-22204
Product group Antibodies
Overview
- SupplierElabscience
- Product NameIL8 Monoclonal Antibody
- Delivery Days Customer12
- CertificationResearch Use Only
- Scientific DescriptionIL-8 is a chemotactic factor that attracts neutrophils, basophils, and T-cells, but not monocytes. It is also involved in neutrophil activation. It is released from several cell types in response to an inflammatory stimulus. IL-8(6-77) has a 5-10-fold higher activity on neutrophil activation, IL-8(5-77) has increased activity on neutrophil activation and IL-8(7-77) has a higher affinity to receptors CXCR1 and CXCR2 as compared to IL-8(1-77), respectively.
- UNSPSC12352203




