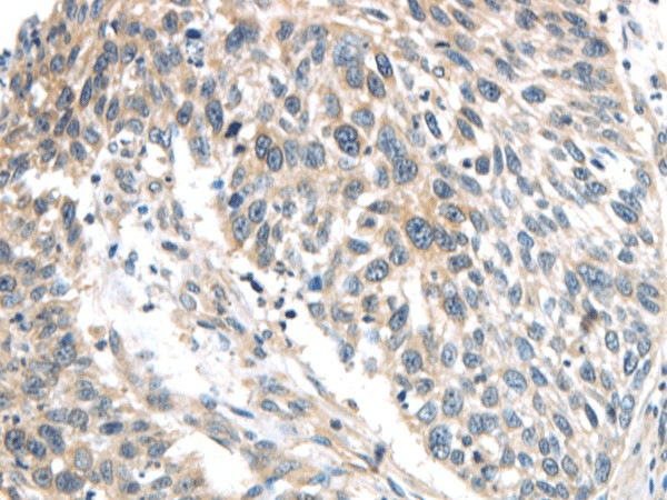
Immunohistochemistry of paraffin-embedded Human lung cancer using IQGAP2 Polyclonal Antibody at dilution of 1/40
IQGAP2 Polyclonal Antibody
E-AB-17343
Product group Antibodies
Overview
- SupplierElabscience
- Product NameIQGAP2 Polyclonal Antibody
- Delivery Days Customer12
- CertificationResearch Use Only
- Scientific DescriptionThis gene encodes a member of the IQGAP family. The protein contains three IQ domains, one calponin homology domain, one Ras-GAP domain and one WW domain. It interacts with components of the cytoskeleton, with cell adhesion molecules, and with several signaling molecules to regulate cell morphology and motility.
- UNSPSC12352203







