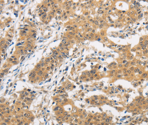
Immunohistochemistry of paraffin-embedded Human gasrtic cancer tissue using ITGB3BP Polyclonal Antibody at dilution 1:50
ITGB3BP Polyclonal Antibody
E-AB-10402
ApplicationsImmunoHistoChemistry
Product group Antibodies
TargetITGB3BP
Overview
- SupplierElabscience
- Product NameITGB3BP Polyclonal Antibody
- Delivery Days Customer12
- ApplicationsImmunoHistoChemistry
- Applications SupplierELISA IHC
- CertificationResearch Use Only
- ClonalityPolyclonal
- Concentration0.7 mg/ml
- ConjugateUnconjugated
- Gene ID23421
- Target nameITGB3BP
- Target descriptionintegrin subunit beta 3 binding protein
- Target synonymsCENP-R, CENPR, HSU37139, NRIF3, TAP20, centromere protein R, beta 3 endonexin, beta3-endonexin, integrin beta 3 binding protein (beta3-endonexin), integrin beta-3-binding protein, nuclear receptor-interacting factor 3
- HostRabbit
- IsotypeIgG
- Protein IDQ13352
- Protein NameCentromere protein R
- Scientific DescriptionThis gene encodes a transcriptional coregulator that binds to and enhances the activity of members of the nuclear receptor families, thyroid hormone receptors and retinoid X receptors. This protein also acts as a corepressor of NF-kappaB-dependent signaling. This protein induces apoptosis in breast cancer cells through a caspase 2-mediated signaling pathway. This protein is also a component of the centromere-specific histone H3 variant nucleosome associated complex (CENP-NAC) and may be involved in mitotic progression by recruiting the histone H3 variant CENP-A to the centromere. Alternate splicing results in multiple transcript variants.
- Storage Instruction-20°C
- UNSPSC41116161





