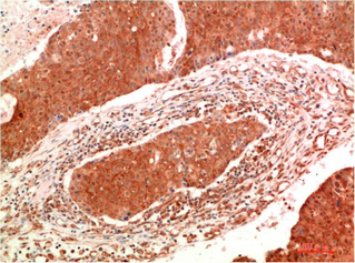
Immunohistochemistry of paraffin-embedded Human breast carcinoma tissue using JAK2 Monoclonal Antibody at dilution of 1:200.
JAK2 Monoclonal Antibody
E-AB-22272
Product group Antibodies
Overview
- SupplierElabscience
- Product NameJAK2 Monoclonal Antibody
- Delivery Days Customer12
- CertificationResearch Use Only
- Scientific DescriptionNon-receptor tyrosine kinase involved in various processes such as cell cycle progression, apoptosis, mitotic recombination, genetic instability and histone modifications. In the cytoplasm, plays a pivotal role in signal transduction via its association with cytokine receptors, which constitutes an initiating step in signaling for many members of the cytokine receptor superfamily including the receptors for growth hormone (GHR), prolactin (PRLR), leptin (LEPR), erythropoietin (EPOR), granulocyte-macrophage colony-stimulating factor (CSF2), thrombopoietin (THPO) and multiple interleukins. Following stimulation with erythropoietin (EPO) during erythropoiesis, it is autophosphorylated and activated, leading to its association with erythropoietin receptor (EPOR) and tyrosine phosphorylation of residues in the EPOR cytoplasmic domain. Also involved in promoting the localization of EPOR to the plasma membrane. Also acts downstream of some G-protein coupled receptors. Plays a role in the control of body weight (By similarity). Mediates angiotensin-2-induced ARHGEF1 phosphorylation. In the nucleus, plays a key role in chromatin by specifically mediating phosphorylation of Tyr-41 of histone H3 (H3Y41ph), a specific tag that promotes exclusion of CBX5 (HP1 alpha) from chromatin.
- UNSPSC12352203






