
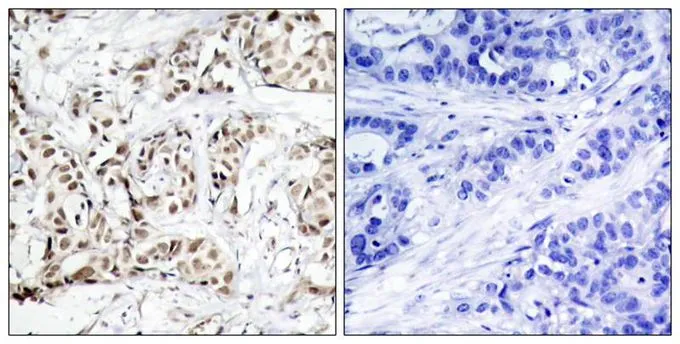
IHC-P analysis of human breast carcinoma tissue using GTX50278 JNK (phospho Thr183) antibody. Left : Primary antibody Right : Primary antibody pre-incubated with the antigen specific peptide
JNK (phospho Thr183) antibody
GTX50278
ApplicationsWestern Blot, ImmunoHistoChemistry, ImmunoHistoChemistry Paraffin
Product group Antibodies
ReactivityHuman
TargetMAPK8
Overview
- SupplierGeneTex
- Product NameJNK (phospho Thr183) antibody
- Delivery Days Customer9
- Application Supplier NoteWB: 1:500-1:1000. IHC-P: 1:50-1:100. *Optimal dilutions/concentrations should be determined by the researcher.Not tested in other applications.
- ApplicationsWestern Blot, ImmunoHistoChemistry, ImmunoHistoChemistry Paraffin
- CertificationResearch Use Only
- ClonalityPolyclonal
- Concentration1 mg/ml
- ConjugateUnconjugated
- Gene ID5599
- Target nameMAPK8
- Target descriptionmitogen-activated protein kinase 8
- Target synonymsJNK, JNK-46, JNK1, JNK1A2, JNK21B1/2, PRKM8, SAPK1, SAPK1c, mitogen-activated protein kinase 8, JUN N-terminal kinase, MAP kinase 8, c-Jun N-terminal kinase 1, stress-activated protein kinase 1, stress-activated protein kinase 1c
- HostRabbit
- IsotypeIgG
- Protein IDP45983
- Protein NameMitogen-activated protein kinase 8
- ReactivityHuman
- Storage Instruction-20°C or -80°C,2°C to 8°C
- UNSPSC12352203








![WB analysis of HEK293T cells transfected with JNK1 plasmid (Right) or empty vector (Left) for 48 hrs using GTX84143 JNK1 antibody [1C2]. Loading : 5 ug per lane](https://www.genetex.com/upload/website/prouct_img/normal/GTX84143/GTX84143_4140_WB_w_23061420_346.webp)
![IHC-P analysis of human liver carcinoma tissue using GTX84144 JNK1 antibody [4E3]. Antigen retrieval : Heat-induced epitope retrieval by 10mM citrate buffer, pH6.0, 100oC for 10min.](https://www.genetex.com/upload/website/prouct_img/normal/GTX84144/GTX84144_2370_IHC-P_w_23061420_857.webp)