
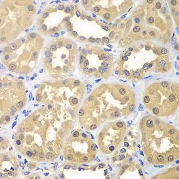
IHC-P analysis of human kidney tissue using GTX33283 Ketohexokinase antibody. Dilution : 1:100
Ketohexokinase antibody
GTX33283
ApplicationsWestern Blot, ImmunoHistoChemistry, ImmunoHistoChemistry Paraffin
Product group Antibodies
ReactivityHuman, Mouse, Rat
TargetKHK
Overview
- SupplierGeneTex
- Product NameKetohexokinase antibody
- Delivery Days Customer9
- Application Supplier NoteWB: 1:500 - 1:2000. IHC-P: 1:50 - 1:200. *Optimal dilutions/concentrations should be determined by the researcher.Not tested in other applications.
- ApplicationsWestern Blot, ImmunoHistoChemistry, ImmunoHistoChemistry Paraffin
- CertificationResearch Use Only
- ClonalityPolyclonal
- ConjugateUnconjugated
- Gene ID3795
- Target nameKHK
- Target descriptionketohexokinase
- Target synonymsFRUCTU, ketohexokinase, fructokinase, hepatic fructokinase, testicular tissue protein Li 102
- HostRabbit
- IsotypeIgG
- Protein IDP50053
- Protein NameKetohexokinase
- Scientific DescriptionThis gene encodes ketohexokinase that catalyzes conversion of fructose to fructose-1-phosphate. The product of this gene is the first enzyme with a specialized pathway that catabolizes dietary fructose. Alternatively spliced transcript variants encoding different isoforms have been identified. [provided by RefSeq, Jul 2008]
- ReactivityHuman, Mouse, Rat
- Storage Instruction-20°C or -80°C,2°C to 8°C
- UNSPSC41116161





![IHC-P analysis of human colon adenocarcinoma tissue using GTX84277 Ketohexokinase antibody [3D1]. Antigen retrieval : Heat-induced epitope retrieval by 10mM citrate buffer, pH6.0, 100oC for 10min.](https://www.genetex.com/upload/website/prouct_img/normal/GTX84277/GTX84277_2517_IHC-P_w_23061420_156.webp)

