
Immunohistochemical analysis of paraffin-embedded A549 xenograft, using Ketohexokinase(GTX109591) antibody at 1:500 dilution.
Antigen Retrieval: Citrate buffer, pH 6.0, 15 min
Ketohexokinase antibody [N1C3]
GTX109591
ApplicationsWestern Blot, ImmunoHistoChemistry, ImmunoHistoChemistry Paraffin
Product group Antibodies
ReactivityHuman, Mouse, Porcine, Rat
TargetKHK
Overview
- SupplierGeneTex
- Product NameKetohexokinase antibody [N1C3]
- Delivery Days Customer9
- Application Supplier NoteWB: 1:1000-1:10000. IHC-P: 1:100-1:1000. *Optimal dilutions/concentrations should be determined by the researcher.Not tested in other applications.
- ApplicationsWestern Blot, ImmunoHistoChemistry, ImmunoHistoChemistry Paraffin
- CertificationResearch Use Only
- ClonalityPolyclonal
- Concentration0.4 mg/ml
- ConjugateUnconjugated
- Gene ID3795
- Target nameKHK
- Target descriptionketohexokinase
- Target synonymsFRUCTU, ketohexokinase, fructokinase, hepatic fructokinase, testicular tissue protein Li 102
- HostRabbit
- IsotypeIgG
- Protein IDP50053
- Protein NameKetohexokinase
- Scientific DescriptionThis gene encodes ketohexokinase that catalyzes conversion of fructose to fructose-1-phosphate. The product of this gene is the first enzyme with a specialized pathway that catabolizes dietary fructose. Alternatively spliced transcript variants encoding different isoforms have been identified. [provided by RefSeq]
- ReactivityHuman, Mouse, Porcine, Rat
- Storage Instruction-20°C or -80°C,2°C to 8°C
- UNSPSC12352203
References
- García-Arroyo FE, Gonzaga-Sánchez G, Silva-Palacios A, et al. Osthole Prevents Heart Damage Induced by Diet-Induced Metabolic Syndrome: Role of Fructokinase (KHK). Antioxidants (Basel). 2023,12(5). doi: 10.3390/antiox12051023Read this paper
- García-Arroyo FE, Gonzaga-Sánchez G, Tapia E, et al. Osthol Ameliorates Kidney Damage and Metabolic Syndrome Induced by a High-Fat/High-Sugar Diet. Int J Mol Sci. 2021,22(5). doi: 10.3390/ijms22052431Read this paper
- García-Arroyo FE, Tapia E, Muñoz-Jiménez I, et al. Fluid Intake Restriction Concomitant to Sweetened Beverages Hydration Induce Kidney Damage. Oxid Med Cell Longev. 2020,2020:8850266. doi: 10.1155/2020/8850266Read this paper
- García-Arroyo FE, Pérez-Estévez HE, Tapia E, et al. Restricted Water Intake and Hydration with Fructose-Containing Beverages during Infancy Predispose to Aggravate an Acute Renal Ischemic Insult in Adolescent Rats. Biomed Res Int. 2020,2020:4281802. doi: 10.1155/2020/4281802Read this paper
- García-Arroyo FE, Muñoz-Jiménez I, Gonzaga G, et al. A Role for Both V1a and V2 Receptors in Renal Heat Stress Injury Amplified by Rehydration with Fructose. Int J Mol Sci. 2019,20(22). doi: 10.3390/ijms20225764Read this paper
- García-Arroyo FE, Monroy-Sánchez F, Muñoz-Jiménez I, et al. Allopurinol Prevents the Lipogenic Response Induced by an Acute Oral Fructose Challenge in Short-Term Fructose Fed Rats. Biomolecules. 2019,9(10). doi: 10.3390/biom9100601Read this paper
- Steinhauser CB, Landers M, Myatt L, et al. Fructose Synthesis and Transport at the Uterine-Placental Interface of Pigs: Cell-Specific Localization of SLC2A5, SLC2A8, and Components of the Polyol Pathway. Biol Reprod. 2016,95(5):108.Read this paper
- García-Arroyo FE, Cristóbal M, Arellano-Buendía AS, et al. Rehydration with soft drink-like beverages exacerbates dehydration and worsens dehydration-associated renal injury. Am J Physiol Regul Integr Comp Physiol. 2016,311(1):R57-65. doi: 10.1152/ajpregu.00354.2015Read this paper
- Uzozie A, Nanni P, Staiano T, et al. Sorbitol dehydrogenase overexpression and other aspects of dysregulated protein expression in human precancerous colorectal neoplasms: a quantitative proteomics study. Mol Cell Proteomics. 2014,13(5):1198-218. doi: 10.1074/mcp.M113.035105Read this paper
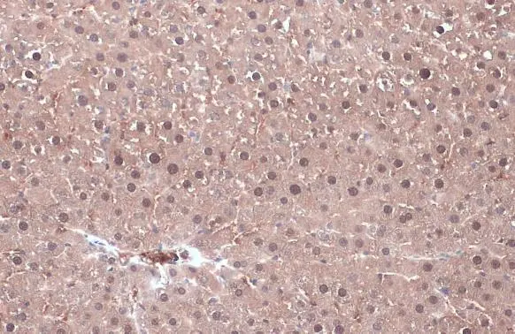
![Ketohexokinase antibody [N1C3] detects Ketohexokinase protein at cytoplasm by immunohistochemical analysis. Sample: Paraffin-embedded mouse liver. Ketohexokinase stained by Ketohexokinase antibody [N1C3] (GTX109591) diluted at 1:500. Antigen Retrieval: Citrate buffer, pH 6.0, 15 min Ketohexokinase antibody [N1C3] detects Ketohexokinase protein at cytoplasm by immunohistochemical analysis. Sample: Paraffin-embedded mouse liver. Ketohexokinase stained by Ketohexokinase antibody [N1C3] (GTX109591) diluted at 1:500. Antigen Retrieval: Citrate buffer, pH 6.0, 15 min](https://www.genetex.com/upload/website/prouct_img/normal/GTX109591/GTX109591_43867_20201211_IHC-P_M_w_23060500_305.webp)
![Various whole cell extracts (30 μg) were separated by 12% SDS-PAGE, and the membrane was blotted with Ketohexokinase antibody [N1C3] (GTX109591) diluted at 1:1000. The HRP-conjugated anti-rabbit IgG antibody (GTX213110-01) was used to detect the primary antibody. Various whole cell extracts (30 μg) were separated by 12% SDS-PAGE, and the membrane was blotted with Ketohexokinase antibody [N1C3] (GTX109591) diluted at 1:1000. The HRP-conjugated anti-rabbit IgG antibody (GTX213110-01) was used to detect the primary antibody.](https://www.genetex.com/upload/website/prouct_img/normal/GTX109591/GTX109591_43867_20200227_WB_w_23060500_188.webp)
![Various whole cell extracts (30 μg) were separated by 12% SDS-PAGE, and the membrane was blotted with Ketohexokinase antibody [N1C3] (GTX109591) diluted at 1:1000. The HRP-conjugated anti-rabbit IgG antibody (GTX213110-01) was used to detect the primary antibody, and the signal was developed with Trident ECL plus-Enhanced. Corresponding RNA expression data for the same cell lines are based on Human Protein Atlas program. Various whole cell extracts (30 μg) were separated by 12% SDS-PAGE, and the membrane was blotted with Ketohexokinase antibody [N1C3] (GTX109591) diluted at 1:1000. The HRP-conjugated anti-rabbit IgG antibody (GTX213110-01) was used to detect the primary antibody, and the signal was developed with Trident ECL plus-Enhanced. Corresponding RNA expression data for the same cell lines are based on Human Protein Atlas program.](https://www.genetex.com/upload/website/prouct_img/normal/GTX109591/GTX109591_40030_20190920_WB_TPM_watermark_w_23060500_747.webp)
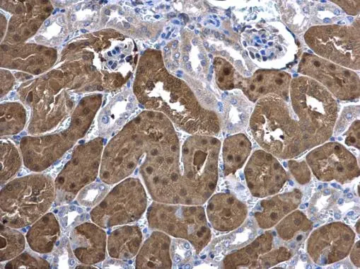
![Ketohexokinase antibody [N1C3] detects Ketohexokinase protein at cytoplasm and nucleus in mouse kidney by immunohistochemical analysis. Sample: Paraffin-embedded mouse kidney. Ketohexokinase antibody [N1C3] (GTX109591) diluted at 1:500.
Antigen Retrieval: Citrate buffer, pH 6.0, 15 min Ketohexokinase antibody [N1C3] detects Ketohexokinase protein at cytoplasm and nucleus in mouse kidney by immunohistochemical analysis. Sample: Paraffin-embedded mouse kidney. Ketohexokinase antibody [N1C3] (GTX109591) diluted at 1:500.
Antigen Retrieval: Citrate buffer, pH 6.0, 15 min](https://www.genetex.com/upload/website/prouct_img/normal/GTX109591/GTX109591_40030_20150424_IHC_M_w_23060500_560.webp)








