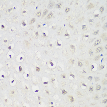
Immunohistochemistry of paraffin-embedded Human esophagus using KPNA3 Polyclonal Antibody at dilution of 1:100 (40x lens).
KPNA3 Polyclonal Antibody
E-AB-62807
Product group Antibodies
Overview
- SupplierElabscience
- Product NameKPNA3 Polyclonal Antibody
- Delivery Days Customer12
- CertificationResearch Use Only
- Scientific DescriptionThe transport of molecules between the nucleus and the cytoplasm in eukaryotic cells is mediated by the nuclear pore complex (NPC), which consists of 60-100 proteins. Small molecules (up to 70 kD) can pass through the nuclear pore by nonselective diffusion while larger molecules are transported by an active process. The protein encoded by this gene belongs to the importin alpha family, and is involved in nuclear protein import.
- UNSPSC12352203



![Various tissue extracts (50 μg) were separated by 10% SDS-PAGE, and the membrane was blotted with KPNA3 antibody [HL1573] (GTX637048) diluted at 1:1000. The HRP-conjugated anti-rabbit IgG antibody (GTX213110-01) was used to detect the primary antibody.](https://www.genetex.com/upload/website/prouct_img/normal/GTX637048/GTX637048_T-44711_20220624_WB_M_tissue_22062919_240.webp)
