
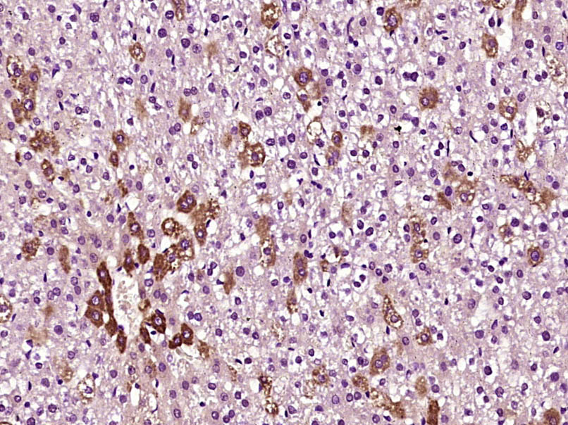
Paraformaldehyde-fixed, paraffin embedded rat small intestine tissue; Antigen retrieval by boiling in sodium citrate buffer(pH6) for 15min; Block endogenous peroxidase by 3% hydrogen peroxide for 30 minutes; Blocking buffer (normal goat serum) at 37°C for 20min; Antibody incubation with Rabbit Anti-LPL Polyclonal Antibody, Unconjugated (bs-1973R) at 1:400 overnight at 4°C, followed by a conjugated secondary and DAB staining\t\t\t\t
Lipoprotein lipase Polyclonal Antibody
BS-1973R
ApplicationsFlow Cytometry, ImmunoFluorescence, Western Blot, ELISA, ImmunoCytoChemistry, ImmunoHistoChemistry, ImmunoHistoChemistry Frozen, ImmunoHistoChemistry Paraffin
Product group Antibodies
ReactivityBovine, Guinea Pig, Human, Mouse, Porcine, Rabbit, Rat, Sheep
TargetLPL
Overview
- SupplierBioss
- Product NameLipoprotein lipase Polyclonal Antibody
- Delivery Days Customer16
- ApplicationsFlow Cytometry, ImmunoFluorescence, Western Blot, ELISA, ImmunoCytoChemistry, ImmunoHistoChemistry, ImmunoHistoChemistry Frozen, ImmunoHistoChemistry Paraffin
- Applications SupplierWB(1:300-5000), ELISA(1:500-1000), FCM(1:20-100), IHC-P(1:200-400), IHC-F(1:100-500), IF(IHC-P)(1:50-200), IF(IHC-F)(1:50-200), IF(ICC)(1:50-200)
- CertificationResearch Use Only
- ClonalityPolyclonal
- Concentration1 ug/ul
- ConjugateUnconjugated
- Gene ID4023
- Target nameLPL
- Target descriptionlipoprotein lipase
- Target synonymsHDLCQ11, LIPD, lipoprotein lipase, phospholipase A1
- HostRabbit
- IsotypeIgG
- Protein IDP06858
- Protein NameLipoprotein lipase
- ReactivityBovine, Guinea Pig, Human, Mouse, Porcine, Rabbit, Rat, Sheep
- Storage Instruction-20°C
- UNSPSC41116161
References
- Resistin up-regulates LPL expression through the PPARgamma-dependent PI3K/AKT signaling pathway impacting lipid accumulation in RAW264.7 macrophages. Li B et al., 2019 Jul, CytokineRead this paper







