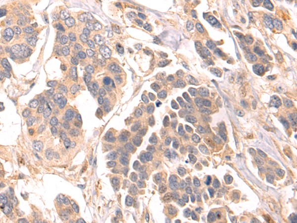
Immunohistochemistry of paraffin-embedded Human colorectal cancer tissue using LRRC15 Polyclonal Antibody at dilution 1:50
LRRC15 Polyclonal Antibody
E-AB-15178
Product group Antibodies
Overview
- SupplierElabscience
- Product NameLRRC15 Polyclonal Antibody
- Delivery Days Customer12
- Applications SupplierELISA IHC
- CertificationResearch Use Only
- Concentration0.4mg/ml
- Scientific DescriptionLeucine-rich repeats (LRRs) are 20-29 amino acid motifs that mediate protein-protein interactions. The primary function of these motifs is to provide a versatile structural framework for the formation of these protein-protein interactions. LRRs are present in a variety of proteins with diverse structure and function, including innate immunity and nervous system development. Several human diseases are associated with mutations in genes encoding LRR-containing proteins. The leucine-rich repeat-containing protein 15 (LRRC15, also designated LIB) is a 581 amino acid protein that contains 15 LRR repeats and is involved in cell-cell and/or -extracellular matrix interactions. LRRC15 is frequently overexpressed in multiple tumor types, most notably breast carcinoma. It is also associated with the pathogenesis of Alzheimers disease.
- UNSPSC12352203





![Unboiled U87-MG whole cell and membrane extracts (30 μg) were separated by 7.5% SDS-PAGE, and the membrane was blotted with LRRC15 antibody [N1N3] (GTX120895) diluted at 1:1000. The HRP-conjugated anti-rabbit IgG antibody (GTX213110-01) was used to detect the primary antibody. (WCE: whole cell extract; ME: membrane extract)](https://www.genetex.com/upload/website/prouct_img/normal/GTX120895/GTX120895_45547_20241018_WB_Fraction_24110700_334.webp)
