
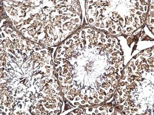
LRRC59 antibody detects LRRC59 protein at cytosol on mouse testis by immunohistochemical analysis. Sample: Paraffin-embedded mouse testis. LRRC59 antibody (GTX123532) dilution: 1:500.
Antigen Retrieval: Trilogy? (EDTA based, pH 8.0) buffer, 15min
LRRC59 antibody
GTX123532
ApplicationsWestern Blot, ImmunoHistoChemistry, ImmunoHistoChemistry Paraffin
Product group Antibodies
ReactivityHuman, Mouse
TargetLRRC59
Overview
- SupplierGeneTex
- Product NameLRRC59 antibody
- Delivery Days Customer9
- Application Supplier NoteWB: 1:500-1:3000. IHC-P: 1:100-1:1000. *Optimal dilutions/concentrations should be determined by the researcher.Not tested in other applications.
- ApplicationsWestern Blot, ImmunoHistoChemistry, ImmunoHistoChemistry Paraffin
- CertificationResearch Use Only
- ClonalityPolyclonal
- Concentration1 mg/ml
- ConjugateUnconjugated
- Gene ID55379
- Target nameLRRC59
- Target descriptionleucine rich repeat containing 59
- Target synonymsPRO1855, p34, leucine-rich repeat-containing protein 59, ribosome-binding protein p34
- HostRabbit
- IsotypeIgG
- Protein IDQ96AG4
- Protein NameLeucine-rich repeat-containing protein 59
- ReactivityHuman, Mouse
- Storage Instruction-20°C or -80°C,2°C to 8°C
- UNSPSC41116161












