
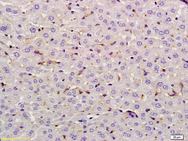
Paraformaldehyde-fixed, paraffin embedded mouse intestine; Antigen retrieval by boiling in sodium citrate buffer (pH6) for 15min; Block endogenous peroxidase by 3% hydrogen peroxide for 30 minutes; Blocking buffer (normal goat serum) at 37°C for 20min; Antibody incubation with Rabbit Anti-Lysozyme Polyclonal Antibody, Unconjugated (bs-0816R) at 1:200 overnight at 4°C, followed by a conjugated \nsecondary for 90 minutes and DAB staining.
Lysozyme Polyclonal Antibody
BS-0816R
ApplicationsImmunoFluorescence, Western Blot, ELISA, ImmunoCytoChemistry, ImmunoHistoChemistry, ImmunoHistoChemistry Frozen, ImmunoHistoChemistry Paraffin
Product group Antibodies
ReactivityChicken, Mouse, Rat
TargetLYZ
Overview
- SupplierBioss
- Product NameLysozyme Polyclonal Antibody
- Delivery Days Customer16
- ApplicationsImmunoFluorescence, Western Blot, ELISA, ImmunoCytoChemistry, ImmunoHistoChemistry, ImmunoHistoChemistry Frozen, ImmunoHistoChemistry Paraffin
- Applications SupplierWB(1:300-5000), ELISA(1:500-1000), IHC-P(1:200-400), IHC-F(1:100-500), IF(IHC-P)(1:50-200), IF(IHC-F)(1:50-200), IF(ICC)(1:50-200)
- CertificationResearch Use Only
- ClonalityPolyclonal
- Concentration1 ug/ul
- ConjugateUnconjugated
- Gene ID4069
- Target nameLYZ
- Target descriptionlysozyme
- Target synonymsAMYLD5, LYZF1, LZM, lysozyme C, 1,4-beta-N-acetylmuramidase C, c-type lysozyme, lysozyme F1
- HostRabbit
- IsotypeIgG
- Protein IDP61626
- Protein NameLysozyme C
- ReactivityChicken, Mouse, Rat
- Storage Instruction-20°C
- UNSPSC41116161






