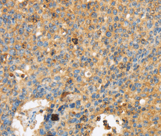
Immunohistochemistry of paraffin-embedded Human lung cancer tissue using ERK 3 Polyclonal Antibody at dilution 1:40
MAPK6 Polyclonal Antibody
E-AB-15626
Product group Antibodies
Overview
- SupplierElabscience
- Product NameMAPK6 Polyclonal Antibody
- Delivery Days Customer12
- Applications SupplierELISA IHC
- CertificationResearch Use Only
- Concentration0.6mg/ml
- Scientific DescriptionThe protein encoded by this gene is a member of the Ser/Thr protein kinase family, and is most closely related to mitogen-activated protein kinases (MAP kinases). MAP kinases also known as extracellular signal-regulated kinases (ERKs), are activated through protein phosphorylation cascades and act as integration points for multiple biochemical signals. This kinase is localized in the nucleus, and has been reported to be activated in fibroblasts upon treatment with serum or phorbol esters.
- UNSPSC12352203






