
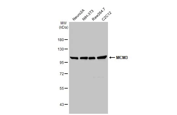
Mouse tissue extract (50 μg) was separated by 7.5% SDS-PAGE, and the membrane was blotted with MCM3 antibody (GTX110241) diluted at 1:500. The HRP-conjugated anti-rabbit IgG antibody (GTX213110-01) was used to detect the primary antibody.
MCM3 antibody
GTX110241
ApplicationsImmunoFluorescence, ImmunoPrecipitation, Western Blot, ChIP Chromatin ImmunoPrecipitation, ImmunoCytoChemistry, ImmunoHistoChemistry, ImmunoHistoChemistry Paraffin
Product group Antibodies
ReactivityHuman, Mouse
TargetMCM3
Overview
- SupplierGeneTex
- Product NameMCM3 antibody
- Delivery Days Customer9
- Application Supplier NoteWB: 1:500-1:3000. ICC/IF: 1:100-1:1000. IHC-P: 1:100-1:1000. IP: 1:100-1:500. *Optimal dilutions/concentrations should be determined by the researcher.Not tested in other applications.
- ApplicationsImmunoFluorescence, ImmunoPrecipitation, Western Blot, ChIP Chromatin ImmunoPrecipitation, ImmunoCytoChemistry, ImmunoHistoChemistry, ImmunoHistoChemistry Paraffin
- CertificationResearch Use Only
- ClonalityPolyclonal
- Concentration0.71 mg/ml
- ConjugateUnconjugated
- Gene ID4172
- Target nameMCM3
- Target descriptionminichromosome maintenance complex component 3
- Target synonymsHCC5, P1-MCM3, P1.h, RLFB, DNA replication licensing factor MCM3, DNA polymerase alpha holoenzyme-associated protein P1, DNA replication factor MCM3, MCM3 minichromosome maintenance deficient 3, RLF subunit beta, cervical cancer proto-oncogene 5, hRlf beta subunit, minichromosome maintenance deficient 3, p102, replication licensing factor, beta subunit
- HostRabbit
- IsotypeIgG
- Protein IDP25205
- Protein NameDNA replication licensing factor MCM3
- Scientific DescriptionThe protein encoded by this gene is one of the highly conserved mini-chromosome maintenance proteins (MCM) that are involved in the initiation of eukaryotic genome replication. The hexameric protein complex formed by MCM proteins is a key component of the pre-replication complex (pre_RC) and may be involved in the formation of replication forks and in the recruitment of other DNA replication related proteins. This protein is a subunit of the protein complex that consists of MCM2-7. It has been shown to interact directly with MCM5/CDC46. This protein also interacts with, and thus is acetlyated by MCM3AP, a chromatin-associated acetyltransferase. The acetylation of this protein inhibits the initiation of DNA replication and cell cycle progression. [provided by RefSeq]
- ReactivityHuman, Mouse
- Storage Instruction-20°C or -80°C,2°C to 8°C
- UNSPSC41116161


![MCM3 antibody immunoprecipitates MCM3 protein in IP experiments. IP samples: HepG2 whole cell extract A. 40 μg HepG2 whole cell extract B. Control with 4 μg of preimmune Rabbit IgG C. Immunoprecipitation of MCM3 protein by 4 μg MCM3 antibody (GTX110241) 7.5 % SDS-PAGE The immunoprecipitated MCM3 protein was detected by MCM3 antibody (GTX110241) diluted at 1:1000. [EasyBlot anti-rabbit IgG (GTX221666-01) was used as a secondary reagent] MCM3 antibody immunoprecipitates MCM3 protein in IP experiments. IP samples: HepG2 whole cell extract A. 40 μg HepG2 whole cell extract B. Control with 4 μg of preimmune Rabbit IgG C. Immunoprecipitation of MCM3 protein by 4 μg MCM3 antibody (GTX110241) 7.5 % SDS-PAGE The immunoprecipitated MCM3 protein was detected by MCM3 antibody (GTX110241) diluted at 1:1000. [EasyBlot anti-rabbit IgG (GTX221666-01) was used as a secondary reagent]](https://www.genetex.com/upload/website/prouct_img/normal/GTX110241/GTX110241_40037_IP_w_23060500_135.webp)

![MCM3 antibody detects MCM3 protein at nucleus by immunofluorescent analysis. Sample: HeLa cells were fixed in 4% paraformaldehyde at RT for 15 min. Green: MCM3 protein stained by MCM3 antibody (GTX110241) diluted at 1:500. Red: alpha Tubulin, a cytoskeleton marker, stained by alpha Tubulin antibody [B-5-1-2] (GTX11304) diluted at 1:10000. Blue: Hoechst 33342 staining. MCM3 antibody detects MCM3 protein at nucleus by immunofluorescent analysis. Sample: HeLa cells were fixed in 4% paraformaldehyde at RT for 15 min. Green: MCM3 protein stained by MCM3 antibody (GTX110241) diluted at 1:500. Red: alpha Tubulin, a cytoskeleton marker, stained by alpha Tubulin antibody [B-5-1-2] (GTX11304) diluted at 1:10000. Blue: Hoechst 33342 staining.](https://www.genetex.com/upload/website/prouct_img/normal/GTX110241/GTX110241_40037_20150410_IFA_w_23060500_178.webp)







![IHC-P analysis of human esophagus tissue using GTX04424 MCM3 antibody [MSVA-503M] HistoMAX?. Esophageal squamous epithelium with moderate to strong nuclear MCM3 staining of suprabasal and basal cells.](https://www.genetex.com/upload/website/prouct_img/normal/GTX04424/GTX04424_20230728_IHC-P_73_23072722_307.webp)
![MCM3 antibody [C2C3], C-term detects MCM3 protein at nucleus by immunofluorescent analysis. Sample: HeLa cells were fixed in 4% paraformaldehyde at RT for 15 min. Green: MCM3 protein stained by MCM3 antibody [C2C3], C-term (GTX111102) diluted at 1:500. Blue: Hoechst 33343 staining.](https://www.genetex.com/upload/website/prouct_img/normal/GTX111102/GTX111102_40058_IFA_w_23060500_861.webp)
