
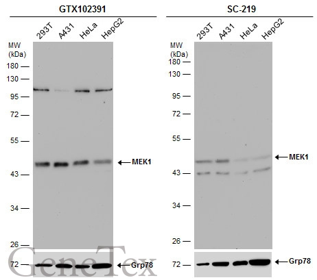
Whole cell extract (30 μg) was separated by 10% SDS-PAGE, and the membrane was blotted with MEK1 antibody (GTX102391) diluted at 1:1000. The HRP-conjugated anti-rabbit IgG antibody (GTX213110-01) was used to detect the primary antibody, and the signal was developed with Trident ECL plus-Enhanced.
MEK1 antibody
GTX102391
ApplicationsImmunoFluorescence, Western Blot, ImmunoCytoChemistry, ImmunoHistoChemistry, ImmunoHistoChemistry Paraffin
Product group Antibodies
ReactivityCanine, Human, Mouse, Rat
TargetMAP2K1
Overview
- SupplierGeneTex
- Product NameMEK1 antibody
- Delivery Days Customer9
- Application Supplier NoteWB: 1:500-1:3000. ICC/IF: 1:100-1:1000. IHC-P: 1:100-1:1000. *Optimal dilutions/concentrations should be determined by the researcher.Not tested in other applications.
- ApplicationsImmunoFluorescence, Western Blot, ImmunoCytoChemistry, ImmunoHistoChemistry, ImmunoHistoChemistry Paraffin
- CertificationResearch Use Only
- ClonalityPolyclonal
- Concentration1 mg/ml
- ConjugateUnconjugated
- Gene ID5604
- Target nameMAP2K1
- Target descriptionmitogen-activated protein kinase kinase 1
- Target synonymsCFC3, MAPKK1, MEK1, MEL, MKK1, PRKMK1, dual specificity mitogen-activated protein kinase kinase 1, ERK activator kinase 1, MAPK/ERK kinase 1, MAPKK 1, MEK 1, protein kinase, mitogen-activated, kinase 1 (MAP kinase kinase 1)
- HostRabbit
- IsotypeIgG
- Protein IDQ02750
- Protein NameDual specificity mitogen-activated protein kinase kinase 1
- Scientific DescriptionThe protein encoded by this gene is a member of the dual specificity protein kinase family, which acts as a mitogen-activated protein (MAP) kinase kinase. MAP kinases, also known as extracellular signal-regulated kinases (ERKs), act as an integration point for multiple biochemical signals. This protein kinase lies upstream of MAP kinases and stimulates the enzymatic activity of MAP kinases upon wide variety of extra- and intracellular signals. As an essential component of MAP kinase signal transduction pathway, this kinase is involved in many cellular processes such as proliferation, differentiation, transcription regulation and development. [provided by RefSeq]
- ReactivityCanine, Human, Mouse, Rat
- Storage Instruction-20°C or -80°C,2°C to 8°C
- UNSPSC41116161












